Click here to close Hello! We notice that you are using Internet Explorer, which is not supported by Xenbase and may cause the site to display incorrectly. We suggest using a current version of Chrome, FireFox, or Safari.

Profile Publications (40)
XB-PERS-2304

Publications By Peter Hausen

???pagination.result.count???

???pagination.result.page??? 1


A simple flow-through micro-chamber for handling fragile, small tissue explants and single non-adherent cells., Hausen P, Riebesell M., Methods Cell Sci. January 1, 2002; 24 (4): 165-8.


Dorsoventral differences in cell-cell interactions modulate the motile behaviour of cells from the Xenopus gastrula., Reintsch WE, Hausen P., Dev Biol. December 15, 2001; 240 (2): 387-403.   


Bottle cell formation in relation to mesodermal patterning in the Xenopus embryo., Kurth T, Hausen P., Mech Dev. October 1, 2000; 97 (1-2): 117-31.   


Assembly of tight junctions during early vertebrate development., Fleming TP, Papenbrock T, Fesenko I, Hausen P, Sheth B., Semin Cell Dev Biol. August 1, 2000; 11 (4): 291-9.


Tight junction biogenesis in the early Xenopus embryo., Fesenko I, Kurth T, Sheth B, Fleming TP, Citi S, Hausen P., Mech Dev. August 1, 2000; 96 (1): 51-65.


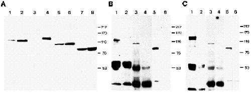
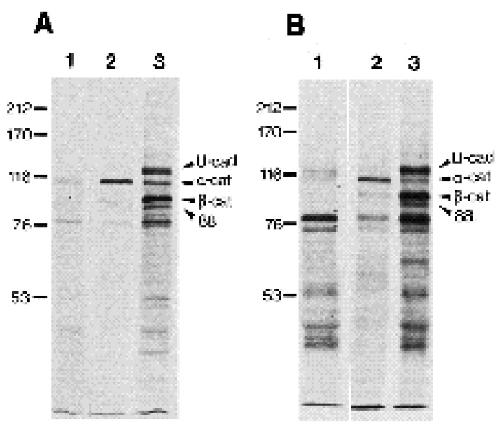
Immunocytochemical studies of the interactions of cadherins and catenins in the early Xenopus embryo., Kurth T, Fesenko IV, Schneider S, Münchberg FE, Joos TO, Spieker TP, Hausen P., Dev Dyn. June 1, 1999; 215 (2): 155-69.


Cloning of the Xenopus integrin alpha(v) subunit and analysis of its distribution during early development., Joos TO, Reintsch WE, Brinker A, Klein C, Hausen P., Int J Dev Biol. March 1, 1998; 42 (2): 171-9.


Pre-MBT patterning of early gene regulation in Xenopus: the role of the cortical rotation and mesoderm induction., Ding X, Hausen P, Steinbeisser H., Mech Dev. January 1, 1998; 70 (1-2): 15-24.   


A paired oocyte adhesion assay reveals the homophilic binding properties of the Xenopus maternal cadherins, XB/U- and EP-cadherin., Münchberg FE, Spieker TP, Joos TO, Hausen P., Mech Dev. June 1, 1997; 64 (1-2): 87-94.   


Fine structural immunocytochemistry of catenins in amphibian and mammalian muscle., Kurth T, Schwarz H, Schneider S, Hausen P., Cell Tissue Res. October 1, 1996; 286 (1): 1-12.


Beta-catenin translocation into nuclei demarcates the dorsalizing centers in frog and fish embryos., Schneider S, Steinbeisser H, Warga RM, Hausen P., Mech Dev. July 1, 1996; 57 (2): 191-8.


Epithelial cell polarity in early Xenopus development., Müller HA, Hausen P., Dev Dyn. April 1, 1995; 202 (4): 405-20.


Integrin alpha 5 during early development of Xenopus laevis., Joos TO, Whittaker CA, Meng F, DeSimone DW, Gnau V, Hausen P., Mech Dev. April 1, 1995; 50 (2-3): 187-99.   


Xenopus cadherins: the maternal pool comprises distinguishable members of the family., Müller HA, Kühl M, Finnemann S, Schneider S, van der Poel SZ, Hausen P, Wedlich D., Mech Dev. September 1, 1994; 47 (3): 213-23.


A beta 1-integrin associated alpha-chain is differentially expressed during Xenopus embryogenesis., Gawantka V, Joos TO, Hausen P., Mech Dev. September 1, 1994; 47 (3): 199-211.


Planar polarity in the ciliated epidermis of Xenopus embryos., König G, Hausen P., Dev Biol. December 1, 1993; 160 (2): 355-68.


Maturation induced internalization of beta 1-integrin by Xenopus oocytes and formation of the maternal integrin pool., Müller AH, Gawantka V, Ding X, Hausen P., Mech Dev. July 1, 1993; 42 (1-2): 77-88.


Catenins in Xenopus embryogenesis and their relation to the cadherin-mediated cell-cell adhesion system., Schneider S, Herrenknecht K, Butz S, Kemler R, Hausen P., Development. June 1, 1993; 118 (2): 629-40.   


Beta 1-integrin is a maternal protein that is inserted into all newly formed plasma membranes during early Xenopus embryogenesis., Gawantka V, Ellinger-Ziegelbauer H, Hausen P., Development. June 1, 1992; 115 (2): 595-605.


U-cadherin in Xenopus oogenesis and oocyte maturation., Müller AH, Angres B, Hausen P., Development. February 1, 1992; 114 (2): 533-43.   


Differential expression of two cadherins in Xenopus laevis., Angres B, Müller AH, Kellermann J, Hausen P., Development. March 1, 1991; 111 (3): 829-44.   


Cell surface proteins during early Xenopus development: analysis of cell surface proteins and total glycoproteins provides evidence for a maternal glycoprotein pool., Servetnick M, Schulte-Merker S, Hausen P., Rouxs Arch Dev Biol. June 1, 1990; 198 (8): 433-442.


Appearance and distribution of laminin during development of Xenopus laevis., Fey J, Hausen P., Differentiation. February 1, 1990; 42 (3): 144-52.   


The function of the nuclear envelope in nuclear protein accumulation., Zimmer FJ, Dreyer C, Hausen P., J Cell Biol. May 1, 1988; 106 (5): 1435-44.   


A new method to prepare sections from amphibian embryos for immunohistology., Hausen P., Z Naturforsch C J Biosci. January 1, 1988; 43 (9-10): 765-8.


Distribution of nuclear proteins during maturation of the Xenopus oocyte., Hausen P, Wang YH, Dreyer C, Stick R., J Embryol Exp Morphol. November 1, 1985; 89 Suppl 17-34.


Development of the lateral line system in Xenopus laevis. IV. Pattern formation in the supraorbital system., Winklbauer R, Hausen P., J Embryol Exp Morphol. August 1, 1985; 88 193-207.


Development of the lateral line system in Xenopus laevis. III. Development of the supraorbital system in triploid embryos and larvae., Winklbauer R, Hausen P., J Embryol Exp Morphol. August 1, 1985; 88 183-92.


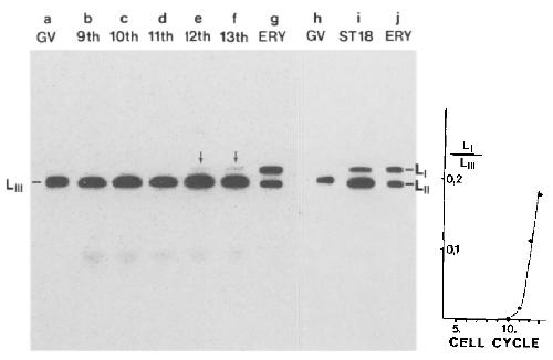
Changes in the nuclear lamina composition during early development of Xenopus laevis., Stick R, Hausen P., Cell. May 1, 1985; 41 (1): 191-200.   


Occurrence of a species-specific nuclear antigen in the germ line of Xenopus and its expression from paternal genes in hybrid frogs., Wedlich D, Dreyer C, Hausen P., Dev Biol. March 1, 1985; 108 (1): 220-34.   


Immunological relationship between oocyte nuclear proteins of Xenopus laevis and X. borealis., Dreyer C, Wang YH, Hausen P., Dev Biol. March 1, 1985; 108 (1): 210-9.


Fates and states of determination of single vegetal pole blastomeres of X. laevis., Heasman J, Wylie CC, Hausen P, Smith JC., Cell. May 1, 1984; 37 (1): 185-94.


Two-dimensional gel analysis of the fate of oocyte nuclear proteins in the development of Xenopus laevis., Dreyer C, Hausen P., Dev Biol. December 1, 1983; 100 (2): 412-25.


Development of the lateral line system in Xenopus laevis. II. Cell multiplication and organ formation in the supraorbital system., Winklbauer R, Hausen P., J Embryol Exp Morphol. August 1, 1983; 76 283-96.


Development of the lateral line system in Xenopus laevis. I. Normal development and cell movement in the supraorbital system., Winklbauer R, Hausen P., J Embryol Exp Morphol. August 1, 1983; 76 265-81.


Urea reactivates antigens in paraffin sections for immunofluorescent staining., Hausen P, Dreyer C., Stain Technol. September 1, 1982; 57 (5): 321-4.


Immunological localization of a major karyoskeletal protein in nucleoli of oocytes and somatic cells of Xenopus laevis., Krohne G, Stick R, Kleinschmidt JA, Moll R, Franke WW, Hausen P., J Cell Biol. September 1, 1982; 94 (3): 749-54.


The fate of oocyte nuclear proteins during early development ofXenopus laevis., Dreyer C, Scholz E, Hausen P, Gläser B, Müller U, Siegel E., Wilehm Roux Arch Dev Biol. July 1, 1982; 191 (4): 228-233.


Tissue specific nuclear antigens in the germinal vesicle ofXenopus laevis oocytes., Dreyer C, Singer H, Hausen P, Müller U, Siegel E., Wilehm Roux Arch Dev Biol. July 1, 1981; 190 (4): 197-207.


Immunological analysis of nuclear lamina proteins., Stick R, Hausen P., Chromosoma. January 1, 1980; 80 (2): 219-36.

???pagination.result.page??? 1