Click here to close Hello! We notice that you are using Internet Explorer, which is not supported by Xenbase and may cause the site to display incorrectly. We suggest using a current version of Chrome, FireFox, or Safari.

Profile Publications (29)
XB-PERS-2104

Publications By Toshiyasu Goto

???pagination.result.count???

???pagination.result.page??? 1


ccl19 and ccl21 affect cell movements and differentiation in early Xenopus development., Goto T, Michiue T, Shibuya H., Dev Growth Differ. April 1, 2023; 65 (3): 175-189.   


maea affects head formation through ß-catenin degradation during early Xenopus laevis development., Goto T, Shibuya H., Dev Growth Differ. January 1, 2023; 65 (1): 29-36.   


ccr7 affects both morphogenesis and differentiation during early Xenopus embryogenesis., Goto T, Michiue T, Shibuya H., Dev Growth Differ. June 1, 2022; 64 (5): 254-260.   


Preparation of three-notochord explants for imaging analysis of the cell movements of convergent extension during early Xenopus morphogenesis., Goto T, Keller R., Dev Growth Differ. October 1, 2021; 63 (8): 429-438.   


The Lhx1-Ldb1 complex interacts with Furry to regulate microRNA expression during pronephric kidney development., Espiritu EB, Crunk AE, Bais A, Hochbaum D, Cervino AS, Phua YL, Butterworth MB, Goto T, Ho J, Hukriede NA, Cirio MC., Sci Rep. October 30, 2018; 8 (1): 16029.   


Roles of Xenopus chemokine ligand CXCLh (XCXCLh) in early embryogenesis., Goto T, Ito Y, Michiue T., Dev Growth Differ. May 1, 2018; 60 (4): 226-238.   


High variability of expression profiles of homeologous genes for Wnt, Hh, Notch, and Hippo signaling pathways in Xenopus laevis., Michiue T, Yamamoto T, Yasuoka Y, Goto T, Ikeda T, Nagura K, Nakayama T, Taira M, Kinoshita T., Dev Biol. June 15, 2017; 426 (2): 270-290.   


Selective inhibition of the kinase DYRK1A by targeting its folding process., Kii I, Sumida Y, Goto T, Sonamoto R, Okuno Y, Yoshida S, Kato-Sumida T, Koike Y, Abe M, Nonaka Y, Ikura T, Ito N, Shibuya H, Hosoya T, Hagiwara M., Nat Commun. April 22, 2016; 7 11391.   


IQGAP1 protein regulates nuclear localization of β-catenin via importin-β5 protein in Wnt signaling., Goto T, Sato A, Adachi S, Iemura S, Natsume T, Shibuya H., J Biol Chem. December 20, 2013; 288 (51): 36351-60.


WNK4 is an essential effector of anterior formation in FGF signaling., Shimizu M, Goto T, Sato A, Shibuya H., Genes Cells. June 1, 2013; 18 (6): 442-9.   


IQGAP1 functions as a modulator of dishevelled nuclear localization in Wnt signaling., Goto T, Sato A, Shimizu M, Adachi S, Satoh K, Iemura S, Natsume T, Shibuya H., PLoS One. January 1, 2013; 8 (4): e60865.   


Characterization of CXC-type chemokine molecules in early Xenopus laevis development., Goto T, Michiue T, Ito Y, Asashima M., Int J Dev Biol. January 1, 2013; 57 (1): 41-7.   


Chemokine ligand Xenopus CXCLC (XCXCLC) regulates cell movements during early morphogenesis., Goto T, Asashima M., Dev Growth Differ. December 1, 2011; 53 (9): 971-81.   


Xenopus furry contributes to release of microRNA gene silencing., Goto T, Fukui A, Shibuya H, Keller R, Asashima M., Proc Natl Acad Sci U S A. November 9, 2010; 107 (45): 19344-9.   


Development of a novel selective inhibitor of the Down syndrome-related kinase Dyrk1A., Ogawa Y, Nonaka Y, Goto T, Ohnishi E, Hiramatsu T, Kii I, Yoshida M, Ikura T, Onogi H, Shibuya H, Hosoya T, Ito N, Hagiwara M., Nat Commun. October 5, 2010; 1 86.   


Nemo-like kinase, an essential effector of anterior formation, functions downstream of p38 mitogen-activated protein kinase., Ohnishi E, Goto T, Sato A, Kim MS, Iemura S, Ishitani T, Natsume T, Ohnishi J, Shibuya H., Mol Cell Biol. February 1, 2010; 30 (3): 675-83.   


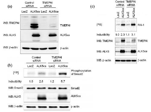
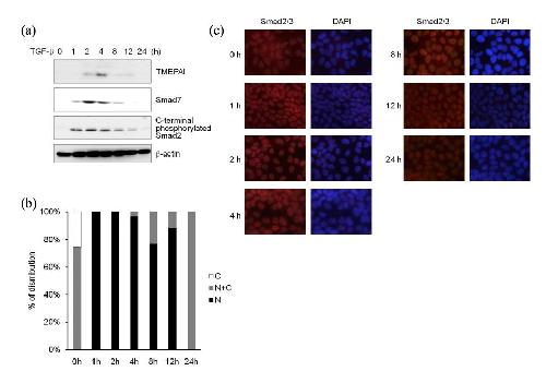
TMEPAI, a transmembrane TGF-beta-inducible protein, sequesters Smad proteins from active participation in TGF-beta signaling., Watanabe Y, Itoh S, Goto T, Ohnishi E, Inamitsu M, Itoh F, Satoh K, Wiercinska E, Yang W, Shi L, Tanaka A, Nakano N, Mommaas AM, Shibuya H, Ten Dijke P, Kato M., Mol Cell. January 15, 2010; 37 (1): 123-34.   


Mitf contributes to melanosome distribution and melanophore dendricity., Kawasaki A, Kumasaka M, Satoh A, Suzuki M, Tamura K, Goto T, Asashima M, Yamamoto H., Pigment Cell Melanoma Res. February 1, 2008; 21 (1): 56-62.


Concentrations of TATA box-binding protein (TBP)-type genes affect chordamesodermal gene expression., Goto T, Keller R, Asashima M., Int J Dev Biol. January 1, 2008; 52 (4): 371-5.   


SDF-1 alpha regulates mesendodermal cell migration during frog gastrulation., Fukui A, Goto T, Kitamoto J, Homma M, Asashima M., Biochem Biophys Res Commun. March 9, 2007; 354 (2): 472-7.   


Xenopus glucose transporter 1 (xGLUT1) is required for gastrulation movement in Xenopus laevis., Suzawa K, Yukita A, Hayata T, Goto T, Danno H, Michiue T, Cho KW, Asashima M., Int J Dev Biol. January 1, 2007; 51 (3): 183-90.   


Planar cell polarity genes regulate polarized extracellular matrix deposition during frog gastrulation., Goto T, Davidson L, Asashima M, Keller R., Curr Biol. April 26, 2005; 15 (8): 787-93.   


Cloning and expression of Xenopus Prickle, an orthologue of a Drosophila planar cell polarity gene., Wallingford JB, Goto T, Keller R, Harland RM., Mech Dev. August 1, 2002; 116 (1-2): 183-6.   


The planar cell polarity gene strabismus regulates convergence and extension and neural fold closure in Xenopus., Goto T, Keller R., Dev Biol. July 1, 2002; 247 (1): 165-81.   


A novel POZ/zinc finger protein, champignon, interferes with gastrulation movements in Xenopus., Goto T, Hasegawa K, Kinoshita T, Kubota HY., Dev Dyn. May 1, 2001; 221 (1): 14-25.   


p48 subunit of mouse PTF1 binds to RBP-Jkappa/CBF-1, the intracellular mediator of Notch signalling, and is expressed in the neural tube of early stage embryos., Obata J, Yano M, Mimura H, Goto T, Nakayama R, Mibu Y, Oka C, Kawaichi M., Genes Cells. April 1, 2001; 6 (4): 345-60.   


Developmentally regulated, alternative splicing of the Rpn10 gene generates multiple forms of 26S proteasomes., Kawahara H, Kasahara M, Nishiyama A, Ohsumi K, Goto T, Kishimoto T, Saeki Y, Yokosawa H, Shimbara N, Murata S, Chiba T, Suzuki K, Tanaka K., EMBO J. August 1, 2000; 19 (15): 4144-53.


Expression and characterization of Xenopus type I collagen alpha 1 (COL1A1) during embryonic development., Goto T, Katada T, Kinoshita T, Kubota HY., Dev Growth Differ. June 1, 2000; 42 (3): 249-56.   


Maternal transcripts of mitotic checkpoint gene, Xbub3, are accumulated in the animal blastomeres of Xenopus early embryo., Goto T, Kinoshita T., DNA Cell Biol. March 1, 1999; 18 (3): 227-34.

???pagination.result.page??? 1