Click here to close Hello! We notice that you are using Internet Explorer, which is not supported by Xenbase and may cause the site to display incorrectly. We suggest using a current version of Chrome, FireFox, or Safari.

Profile Publications (15)
XB-PERS-2081

Publications By Juan Carlos Izpisúa Belmonte

???pagination.result.count???

???pagination.result.page??? 1


Transient downregulation of Bmp signalling induces extra limbs in vertebrates., Christen B, Rodrigues AM, Monasterio MB, Roig CF, Izpisua Belmonte JC., Development. July 1, 2012; 139 (14): 2557-65.   


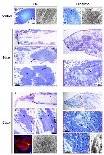
Skeletal muscle regeneration in Xenopus tadpoles and zebrafish larvae., Rodrigues AM, Christen B, Martí M, Izpisúa Belmonte JC., BMC Dev Biol. February 27, 2012; 12 9.   


Beyond early development: Xenopus as an emerging model for the study of regenerative mechanisms., Beck CW, Izpisúa Belmonte JC, Christen B., Dev Dyn. June 1, 2009; 238 (6): 1226-48.   


The forkhead protein Foxj1 specifies node-like cilia in Xenopus and zebrafish embryos., Stubbs JL, Oishi I, Izpisúa Belmonte JC, Kintner C., Nat Genet. December 1, 2008; 40 (12): 1454-60.   


Retinoic acid regulation of the Mesp-Ripply feedback loop during vertebrate segmental patterning., Moreno TA, Jappelli R, Izpisúa Belmonte JC, Kintner C., Dev Biol. March 15, 2008; 315 (2): 317-30.   


Wnt/beta-catenin signaling regulates vertebrate limb regeneration., Kawakami Y, Rodriguez Esteban C, Raya M, Kawakami H, Martí M, Dubova I, Izpisúa Belmonte JC., Genes Dev. December 1, 2006; 20 (23): 3232-7.   


Noncanonical Wnt signaling regulates midline convergence of organ primordia during zebrafish development., Matsui T, Raya A, Kawakami Y, Callol-Massot C, Capdevila J, Rodríguez-Esteban C, Izpisúa Belmonte JC., Genes Dev. January 1, 2005; 19 (1): 164-75.


Dickkopf1 is required for embryonic head induction and limb morphogenesis in the mouse., Mukhopadhyay M, Shtrom S, Rodriguez-Esteban C, Chen L, Tsukui T, Gomer L, Dorward DW, Glinka A, Grinberg A, Huang SP, Niehrs C, Izpisúa Belmonte JC, Westphal H., Dev Cell. September 1, 2001; 1 (3): 423-34.


Mechanisms of left-right determination in vertebrates., Capdevila J, Vogan KJ, Tabin CJ, Izpisúa Belmonte JC., Cell. March 31, 2000; 101 (1): 9-21.   


Mesenchyme with fgf-10 expression is responsible for regenerative capacity in Xenopus limb buds., Yokoyama H, Yonei-Tamura S, Endo T, Izpisúa Belmonte JC, Tamura K, Ide H., Dev Biol. March 1, 2000; 219 (1): 18-29.   


Molecular basis of left-right asymmetry., Tamura K, Yonei-Tamura S, Izpisúa Belmonte JC., Dev Growth Differ. December 1, 1999; 41 (6): 645-56.


The novel Cer-like protein Caronte mediates the establishment of embryonic left-right asymmetry., Rodríguez Esteban C, Capdevila J, Economides AN, Pascual J, Ortiz A, Izpisúa Belmonte JC., Nature. September 16, 1999; 401 (6750): 243-51.


Spatially and temporally-restricted expression of two T-box genes during zebrafish embryogenesis., Yonei-Tamura S, Tamura K, Tsukui T, Izpisúa Belmonte JC., Mech Dev. February 1, 1999; 80 (2): 219-21.


The role of Alx-4 in the establishment of anteroposterior polarity during vertebrate limb development., Takahashi M, Tamura K, Büscher D, Masuya H, Yonei-Tamura S, Matsumoto K, Naitoh-Matsuo M, Takeuchi J, Ogura K, Shiroishi T, Ogura T, Izpisúa Belmonte JC., Development. November 1, 1998; 125 (22): 4417-25.


Pitx2 determines left-right asymmetry of internal organs in vertebrates., Ryan AK, Blumberg B, Rodriguez-Esteban C, Yonei-Tamura S, Tamura K, Tsukui T, de la Peña J, Sabbagh W, Greenwald J, Choe S, Norris DP, Robertson EJ, Evans RM, Rosenfeld MG, Izpisúa Belmonte JC., Nature. August 6, 1998; 394 (6693): 545-51.

???pagination.result.page??? 1