Click here to close Hello! We notice that you are using Internet Explorer, which is not supported by Xenbase and may cause the site to display incorrectly. We suggest using a current version of Chrome, FireFox, or Safari.

Profile Publications (44)
XB-PERS-2074

Publications By De-Li Shi

???pagination.result.count???

???pagination.result.page??? 1


The regulatory proteins DSCR6 and Ezh2 oppositely regulate Stat3 transcriptional activity in mesoderm patterning during Xenopus development., Loreti M, Shi DL, Carron C., J Biol Chem. February 28, 2020; 295 (9): 2724-2735.   


Decoding Dishevelled-Mediated Wnt Signaling in Vertebrate Early Development., Shi DL., Front Cell Dev Biol. January 1, 2020; 8 588370.   


Leucine repeat adaptor protein 1 interacts with Dishevelled to regulate gastrulation cell movements in zebrafish., Cheng XN, Shao M, Li JT, Wang YF, Qi J, Xu ZG, Shi DL., Nat Commun. November 7, 2017; 8 (1): 1353.   


Autoinhibition of Dishevelled protein regulated by its extreme C terminus plays a distinct role in Wnt/β-catenin and Wnt/planar cell polarity (PCP) signaling pathways., Qi J, Lee HJ, Saquet A, Cheng XN, Shao M, Zheng JJ, Shi DL., J Biol Chem. April 7, 2017; 292 (14): 5898-5908.


The role and mechanisms of action of SIRT6 in the suppression of postoperative epidural scar formation., Fan X, Chen J, Shi D, Jia J, He J, Li L, Lei T, Chen X., Int J Mol Med. May 1, 2016; 37 (5): 1337-44.


Specification of anteroposterior axis by combinatorial signaling during Xenopus development., Carron C, Shi DL., Wiley Interdiscip Rev Dev Biol. January 1, 2016; 5 (2): 150-68.   


Conformational change of Dishevelled plays a key regulatory role in the Wnt signaling pathways., Lee HJ, Shi DL, Zheng JJ., Elife. August 22, 2015; 4 e08142.   


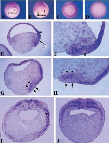
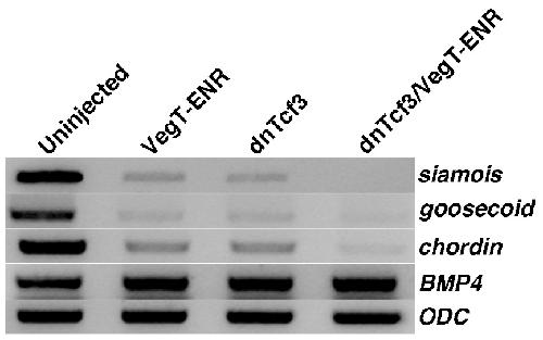
Direct regulation of siamois by VegT is required for axis formation in Xenopus embryo., Li HY, El Yakoubi W, Shi DL., Int J Dev Biol. January 1, 2015; 59 (10-12): 443-51.   


The RNA-binding protein Rbm24 is transiently expressed in myoblasts and is required for myogenic differentiation during vertebrate development., Grifone R, Xie X, Bourgeois A, Saquet A, Duprez D, Shi DL., Mech Dev. November 1, 2014; 134 1-15.   


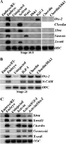
The Xenopus homologue of Down syndrome critical region protein 6 drives dorsoanterior gene expression and embryonic axis formation by antagonising polycomb group proteins., Li HY, Grifone R, Saquet A, Carron C, Shi DL., Development. December 1, 2013; 140 (24): 4903-13.   


Xenopus radial spoke protein 3 gene is expressed in the multiciliated cells of epidermis and otic vesicles and sequentially in the nephrostomes., Zhang YJ, Zhao L, Meng YP, Shi DL., Dev Genes Evol. May 1, 2013; 223 (3): 183-8.


Sim2 prevents entry into the myogenic program by repressing MyoD transcription during limb embryonic myogenesis., Havis E, Coumailleau P, Bonnet A, Bismuth K, Bonnin MA, Johnson R, Fan CM, Relaix F, Shi DL, Duprez D., Development. June 1, 2012; 139 (11): 1910-20.   


High mobility group B proteins regulate mesoderm formation and dorsoventral patterning during zebrafish and Xenopus early development., Cao JM, Li SQ, Zhang HW, Shi DL., Mech Dev. January 1, 2012; 129 (9-12): 263-74.   


Characterization of sFRP2-like in amphioxus: insights into the evolutionary conservation of Wnt antagonizing function., Kong W, Yang Y, Zhang T, Shi DL, Zhang Y., Evol Dev. January 1, 2012; 14 (2): 168-77.


Identification of transmembrane protein 88 (TMEM88) as a dishevelled-binding protein., Lee HJ, Finkelstein D, Li X, Wu D, Shi DL, Zheng JJ., J Biol Chem. December 31, 2010; 285 (53): 41549-56.


The RNA-binding protein Seb4/RBM24 is a direct target of MyoD and is required for myogenesis during Xenopus early development., Li HY, Bourdelas A, Carron C, Shi DL., Mech Dev. January 1, 2010; 127 (5-6): 281-91.   


Discovery and characterization of a small molecule inhibitor of the PDZ domain of dishevelled., Grandy D, Shan J, Zhang X, Rao S, Akunuru S, Li H, Zhang Y, Alpatov I, Zhang XA, Lang RA, Shi DL, Zheng JJ., J Biol Chem. June 12, 2009; 284 (24): 16256-16263.


Down syndrome critical region protein 5 regulates membrane localization of Wnt receptors, Dishevelled stability and convergent extension in vertebrate embryos., Shao M, Liu ZZ, Wang CD, Li HY, Carron C, Zhang HW, Shi DL., Development. June 1, 2009; 136 (12): 2121-31.   


Dynamic expression pattern of distinct genes in the presomitic and somitic mesoderm during Xenopus development., Bourdelas A, Li HY, Carron C, Shi DL., Int J Dev Biol. January 1, 2009; 53 (7): 1075-9.   


Sulindac inhibits canonical Wnt signaling by blocking the PDZ domain of the protein Dishevelled., Lee HJ, Wang NX, Shi DL, Zheng JJ., Angew Chem Int Ed Engl. January 1, 2009; 48 (35): 6448-52.


Evolution of axis specification mechanisms in jawed vertebrates: insights from a chondrichthyan., Coolen M, Sauka-Spengler T, Nicolle D, Le-Mentec C, Lallemand Y, Da Silva C, Plouhinec JL, Robert B, Wincker P, Shi DL, Mazan S., PLoS One. April 18, 2007; 2 (4): e374.   


Unliganded thyroid hormone receptor is essential for Xenopus laevis eye development., Havis E, Le Mevel S, Morvan Dubois G, Shi DL, Scanlan TS, Demeneix BA, Sachs LM., EMBO J. October 18, 2006; 25 (20): 4943-51.


FGF8, Wnt8 and Myf5 are target genes of Tbx6 during anteroposterior specification in Xenopus embryo., Li HY, Bourdelas A, Carron C, Gomez C, Boucaut JC, Shi DL., Dev Biol. February 15, 2006; 290 (2): 470-81.   


Spatio-temporal expression of MRF4 transcripts and protein during Xenopus laevis embryogenesis., Della Gaspera B, Sequeira I, Charbonnier F, Becker C, Shi DL, Chanoine C., Dev Dyn. February 1, 2006; 235 (2): 524-9.   


Identification of a specific inhibitor of the dishevelled PDZ domain., Shan J, Shi DL, Wang J, Zheng J., Biochemistry. November 29, 2005; 44 (47): 15495-503.


Antagonistic interaction between IGF and Wnt/JNK signaling in convergent extension in Xenopus embryo., Carron C, Bourdelas A, Li HY, Boucaut JC, Shi DL., Mech Dev. November 1, 2005; 122 (11): 1234-47.   


Identification of the mammalian Not gene via a phylogenomic approach., Plouhinec JL, Granier C, Le Mentec C, Lawson KA, Sabéran-Djoneidi D, Aghion J, Shi DL, Collignon J, Mazan S., Gene Expr Patterns. November 1, 2004; 5 (1): 11-22.   


Identification of distinct genes with restricted expression in the somitic mesoderm in Xenopus embryo., Bourdelas A, Li HY, Boucaut JC, Shi DL., Gene Expr Patterns. October 1, 2004; 4 (6): 695-9.   


Murine Frizzled-1 behaves as an antagonist of the canonical Wnt/beta-catenin signaling., Roman-Roman S, Shi DL, Stiot V, Haÿ E, Vayssière B, Garcia T, Baron R, Rawadi G., J Biol Chem. February 13, 2004; 279 (7): 5725-33.


Direct binding of the PDZ domain of Dishevelled to a conserved internal sequence in the C-terminal region of Frizzled., Wong HC, Bourdelas A, Krauss A, Lee HJ, Shao Y, Wu D, Mlodzik M, Shi DL, Zheng J., Mol Cell. November 1, 2003; 12 (5): 1251-60.


Frizzled receptor dimerization is sufficient to activate the Wnt/beta-catenin pathway., Carron C, Pascal A, Djiane A, Boucaut JC, Shi DL, Umbhauer M., J Cell Sci. June 15, 2003; 116 (Pt 12): 2541-50.


Expression patterns of an Otx2 and an Otx5 orthologue in the urodele Pleurodeles waltl: implications on the evolutionary relationships between the balancers and cement gland in amphibians., Sauka-Spengler T, Germot A, Shi DL, Mazan S., Dev Genes Evol. September 1, 2002; 212 (8): 380-7.


Zygotic Wnt/beta-catenin signaling preferentially regulates the expression of Myf5 gene in the mesoderm of Xenopus., Shi DL, Bourdelas A, Umbhauer M, Boucaut JC., Dev Biol. May 1, 2002; 245 (1): 124-35.


Repression of XMyoD expression and myogenesis by Xhairy-1 in Xenopus early embryo., Umbhauer M, Boucaut JC, Shi DL., Mech Dev. November 1, 2001; 109 (1): 61-8.   


The C-terminal cytoplasmic Lys-thr-X-X-X-Trp motif in frizzled receptors mediates Wnt/beta-catenin signalling., Umbhauer M, Djiane A, Goisset C, Penzo-Méndez A, Riou JF, Boucaut JC, Shi DL., EMBO J. September 15, 2000; 19 (18): 4944-54.


Role of frizzled 7 in the regulation of convergent extension movements during gastrulation in Xenopus laevis., Djiane A, Riou J, Umbhauer M, Boucaut J, Shi D., Development. July 1, 2000; 127 (14): 3091-100.   


Xenopus frizzled 4 is a maternal mRNA and its zygotic expression is localized to the neuroectoderm and trunk lateral plate mesoderm., Shi DL, Boucaut JC., Mech Dev. June 1, 2000; 94 (1-2): 243-5.   


Identification and developmental expression of cyclin-dependent kinase 4 gene in Xenopus laevis., Goisset C, Boucaut JC, Shi DL., Mech Dev. January 1, 1998; 70 (1-2): 197-200.   


Expression of Xfz3, a Xenopus frizzled family member, is restricted to the early nervous system., Shi DL, Goisset C, Boucaut JC., Mech Dev. January 1, 1998; 70 (1-2): 35-47.   


What mechanisms drive cell migration and cell interactions in Pleurodeles?, Boucaut JC, Clavilier L, Darribère T, Delarue M, Riou JF, Shi DL., Int J Dev Biol. August 1, 1996; 40 (4): 675-83.


A truncated FGF receptor blocks neural induction by endogenous Xenopus inducers., Launay C, Fromentoux V, Shi DL, Boucaut JC., Development. March 1, 1996; 122 (3): 869-80.   


The chronological development of the urodele amphibian Pleurodeles waltl (Michah)., Shi DL, Boucaut JC., Int J Dev Biol. June 1, 1995; 39 (3): 427-41.


Expression of fibroblast growth factor receptor-2 splice variants is developmentally and tissue-specifically regulated in the amphibian embryo., Shi DL, Launay C, Fromentoux V, Feige JJ, Boucaut JC., Dev Biol. July 1, 1994; 164 (1): 173-82.


Fibronectin-rich fibrillar extracellular matrix controls cell migration during amphibian gastrulation., Boucaut JC, Johnson KE, Darribère T, Shi DL, Riou JF, Bache HB, Delarue M., Int J Dev Biol. March 1, 1990; 34 (1): 139-47.   

???pagination.result.page??? 1