Click here to close Hello! We notice that you are using Internet Explorer, which is not supported by Xenbase and may cause the site to display incorrectly. We suggest using a current version of Chrome, FireFox, or Safari.

Profile Publications (21)
XB-PERS-2062

Publications By Akira Satoh

???pagination.result.count???

???pagination.result.page??? 1


Hyperinnervation improves Xenopus laevis limb regeneration., Mitogawa K, Makanae A, Satoh A., Dev Biol. January 15, 2018; 433 (2): 276-286.   


Reactivation of larval keratin gene (krt62.L) in blastema epithelium during Xenopus froglet limb regeneration., Satoh A, Mitogawa K, Saito N, Suzuki M, Suzuki KT, Ochi H, Makanae A., Dev Biol. December 15, 2017; 432 (2): 265-272.   


Skeletal callus formation is a nerve-independent regenerative response to limb amputation in mice and Xenopus., Miura S, Takahashi Y, Satoh A, Endo T., Regeneration (Oxf). August 26, 2015; 2 (4): 202-16.   


Regeneration inducers in limb regeneration., Satoh A, Mitogawa K, Makanae A., Dev Growth Differ. August 1, 2015; 57 (6): 421-429.   


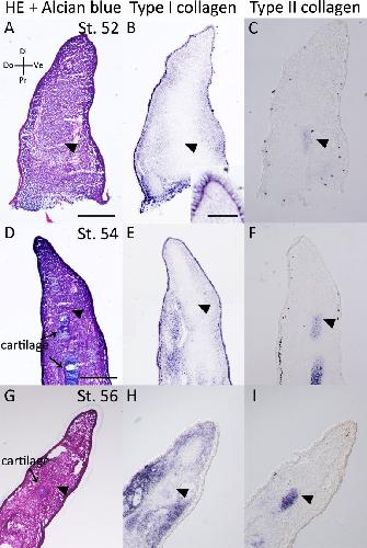
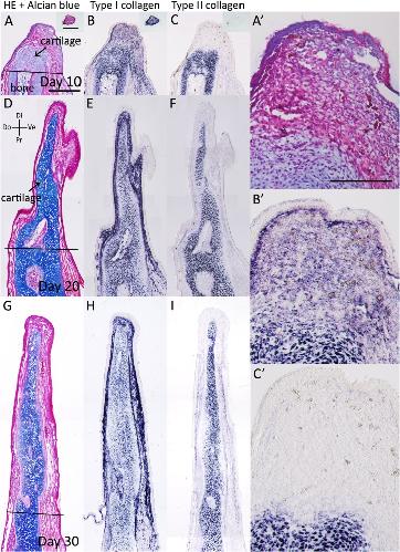
Comparative Analysis of Cartilage Marker Gene Expression Patterns during Axolotl and Xenopus Limb Regeneration., Mitogawa K, Makanae A, Satoh A, Satoh A., PLoS One. July 16, 2015; 10 (7): e0133375.   


Implication of two different regeneration systems in limb regeneration., Makanae A, Mitogawa K, Satoh A., Regeneration (Oxf). August 29, 2014; 1 (3): 1-9.   


Ectopic blastema induction by nerve deviation and skin wounding: a new regeneration model in Xenopus laevis., Mitogawa K, Hirata A, Moriyasu M, Makanae A, Miura S, Endo T, Satoh A., Regeneration (Oxf). May 28, 2014; 1 (2): 26-36.   


Activation of germline-specific genes is required for limb regeneration in the Mexican axolotl., Zhu W, Pao GM, Satoh A, Cummings G, Monaghan JR, Harkins TT, Bryant SV, Randal Voss S, Gardiner DM, Hunter T., Dev Biol. October 1, 2012; 370 (1): 42-51.   


Nerve signaling regulates basal keratinocyte proliferation in the blastema apical epithelial cap in the axolotl (Ambystoma mexicanum)., Satoh A, Bryant SV, Gardiner DM., Dev Biol. June 15, 2012; 366 (2): 374-81.


Analysis of hoxa11 and hoxa13 expression during patternless limb regeneration in Xenopus., Ohgo S, Itoh A, Suzuki M, Satoh A, Yokoyama H, Tamura K., Dev Biol. February 15, 2010; 338 (2): 148-57.   


Effects of activation of hedgehog signaling on patterning, growth, and differentiation in Xenopus froglet limb regeneration., Yakushiji N, Suzuki M, Satoh A, Ide H, Tamura K., Dev Dyn. August 1, 2009; 238 (8): 1887-96.   


Mitf contributes to melanosome distribution and melanophore dendricity., Kawasaki A, Kumasaka M, Satoh A, Suzuki M, Tamura K, Goto T, Asashima M, Yamamoto H., Pigment Cell Melanoma Res. February 1, 2008; 21 (1): 56-62.


Correlation between Shh expression and DNA methylation status of the limb-specific Shh enhancer region during limb regeneration in amphibians., Yakushiji N, Suzuki M, Satoh A, Sagai T, Shiroishi T, Kobayashi H, Sasaki H, Ide H, Tamura K., Dev Biol. December 1, 2007; 312 (1): 171-82.   


Transgenic Xenopus with prx1 limb enhancer reveals crucial contribution of MEK/ERK and PI3K/AKT pathways in blastema formation during limb regeneration., Suzuki M, Satoh A, Ide H, Tamura K., Dev Biol. April 15, 2007; 304 (2): 675-86.   


Characterization of Xenopus digits and regenerated limbs of the froglet., Satoh A, Endo T, Abe M, Yakushiji N, Ohgo S, Tamura K, Ide H., Dev Dyn. December 1, 2006; 235 (12): 3316-26.   


Limb regeneration in Xenopus laevis froglet., Suzuki M, Yakushiji N, Nakada Y, Satoh A, Ide H, Tamura K., ScientificWorldJournal. May 12, 2006; 6 Suppl 1 26-37.   


Analysis of scleraxis and dermo-1 genes in a regenerating limb of Xenopus laevis., Satoh A, Nakada Y, Suzuki M, Tamura K, Ide H., Dev Dyn. April 1, 2006; 235 (4): 1065-73.   


Characteristics of initiation and early events for muscle development in the Xenopus limb bud., Satoh A, Sakamaki K, Ide H, Tamura K., Dev Dyn. December 1, 2005; 234 (4): 846-57.   


Nerve-dependent and -independent events in blastema formation during Xenopus froglet limb regeneration., Suzuki M, Satoh A, Ide H, Tamura K., Dev Biol. October 1, 2005; 286 (1): 361-75.   


Joint development in Xenopus laevis and induction of segmentations in regenerating froglet limb (spike)., Satoh A, Suzuki M, Amano T, Tamura K, Ide H., Dev Dyn. August 1, 2005; 233 (4): 1444-53.   


Muscle formation in regenerating Xenopus froglet limb., Satoh A, Ide H, Tamura K., Dev Dyn. June 1, 2005; 233 (2): 337-46.   

???pagination.result.page??? 1