Click here to close Hello! We notice that you are using Internet Explorer, which is not supported by Xenbase and may cause the site to display incorrectly. We suggest using a current version of Chrome, FireFox, or Safari.

Profile Publications (42)
XB-PERS-2023

Publications By Juan Larraín

???pagination.result.count???

???pagination.result.page??? 1


Transcriptome analysis of the response to thyroid hormone in Xenopus neural stem and progenitor cells., Cordero-Véliz C, Larraín J, Faunes F., Dev Dyn. February 1, 2023; 252 (2): 294-304.   


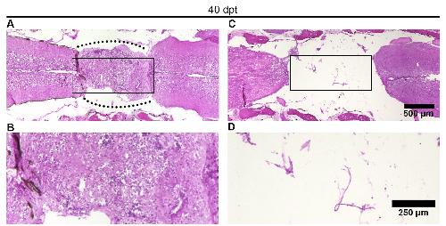
Cornifelin expression during Xenopus laevis metamorphosis and in response to spinal cord injury., Torruella-Gonzalez S, Slater PG, Lee-Liu D, Larraín J., Gene Expr Patterns. March 1, 2022; 43 119234.   


Spinal Cord Transection In Xenopus laevis Tadpoles., Slater PG, Larraín J., J Vis Exp. December 10, 2021; (178):


Analysis of the early response to spinal cord injury identified a key role for mTORC1 signaling in the activation of neural stem progenitor cells., Peñailillo J, Palacios M, Mounieres C, Muñoz R, Slater PG, De Domenico E, Patrushev I, Gilchrist M, Larraín J., NPJ Regen Med. October 22, 2021; 6 (1): 68.   


Xenopus, a Model to Study Wound Healing and Regeneration: Experimental Approaches., Slater PG, Palacios M, Larraín J., Cold Spring Harb Protoc. August 2, 2021; 2021 (8):


Cellular response to spinal cord injury in regenerative and non-regenerative stages in Xenopus laevis., Edwards-Faret G, González-Pinto K, Cebrián-Silla A, Peñailillo J, García-Verdugo JM, Larraín J., Neural Dev. February 2, 2021; 16 (1): 2.   


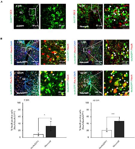
Neurod4 converts endogenous neural stem cells to neurons with synaptic formation after spinal cord injury., Fukuoka T, Kato A, Hirano M, Ohka F, Aoki K, Awaya T, Adilijiang A, Sachi M, Tanahashi K, Yamaguchi J, Motomura K, Shimizu H, Nagashima Y, Ando R, Wakabayashi T, Lee-Liu D, Larrain J, Nishimura Y, Natsume A., iScience. January 20, 2021; 24 (2): 102074.   


Characterization of spinal cord damage based on automatic video analysis of froglet swimming., De Vidts S, Méndez-Olivos E, Palacios M, Larraín J, Mery D., Biol Open. December 24, 2019; 8 (12):   


Overexpression of Lin28a delays Xenopus metamorphosis and down-regulates albumin independently of its translational regulation domain., Gundermann DG, Martínez J, De Kervor G, González-Pinto K, Larraín J, Faunes F., Dev Dyn. October 1, 2019; 248 (10): 969-978.   


Cell Transplantation as a Method to Investigate Spinal Cord Regeneration in Regenerative and Nonregenerative Xenopus Stages., Méndez-Olivos EE, Larraín J., Cold Spring Harb Protoc. December 3, 2018; 2018 (12):


The neuromuscular junction of Xenopus tadpoles: Revisiting a classical model of early synaptogenesis and regeneration., Bermedo-García F, Ojeda J, Méndez-Olivos EE, Marcellini S, Larraín J, Henríquez JP., Mech Dev. December 1, 2018; 154 91-97.   


Cellular composition and organization of the spinal cord central canal during metamorphosis of the frog Xenopus laevis., Edwards-Faret G, Cebrián-Silla A, Méndez-Olivos EE, González-Pinto K, García-Verdugo JM, Larraín J., J Comp Neurol. July 1, 2018; 526 (10): 1712-1732.


Quantitative Proteomics After Spinal Cord Injury (SCI) in a Regenerative and a Nonregenerative Stage in the Frog Xenopus laevis., Lee-Liu D, Sun L, Dovichi NJ, Larraín J., Mol Cell Proteomics. April 1, 2018; 17 (4): 592-606.   


Spinal Cord Cells from Pre-metamorphic Stages Differentiate into Neurons and Promote Axon Growth and Regeneration after Transplantation into the Injured Spinal Cord of Non-regenerative Xenopus laevis Froglets., Méndez-Olivos EE, Muñoz R, Larraín J., Front Cell Neurosci. July 21, 2017; 11 398.   


The African clawed frog Xenopus laevis: A model organism to study regeneration of the central nervous system., Lee-Liu D, Méndez-Olivos EE, Muñoz R, Larraín J., Neurosci Lett. June 23, 2017; 652 82-93.


The heterochronic gene Lin28 regulates amphibian metamorphosis through disturbance of thyroid hormone function., Faunes F, Gundermann DG, Muñoz R, Bruno R, Larraín J., Dev Biol. May 15, 2017; 425 (2): 142-151.   


Spinal cord regeneration in Xenopus laevis., Edwards-Faret G, Muñoz R, Méndez-Olivos EE, Lee-Liu D, Tapia VS, Larraín J., Nat Protoc. February 1, 2017; 12 (2): 372-389.   


JAK-STAT pathway activation in response to spinal cord injury in regenerative and non-regenerative stages of Xenopus laevis., Tapia VS, Herrera-Rojas M, Larrain J., Regeneration (Oxf). February 1, 2017; 4 (1): 21-35.   


Conservation in the involvement of heterochronic genes and hormones during developmental transitions., Faunes F, Larraín J., Dev Biol. August 1, 2016; 416 (1): 3-17.


Towards the bridging of molecular genetics data across Xenopus species., Riadi G, Ossandón F, Larraín J, Melo F., BMC Genomics. March 1, 2016; 17 161.   


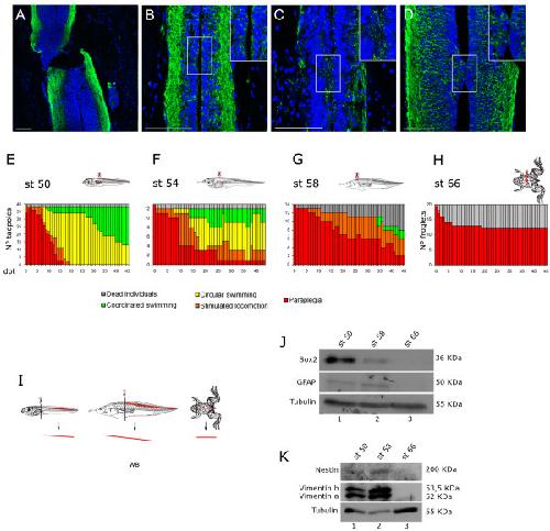
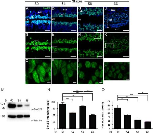
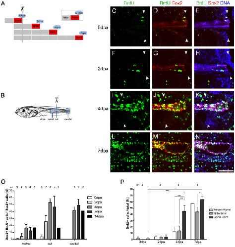
Regeneration of Xenopus laevis spinal cord requires Sox2/3 expressing cells., Muñoz R, Edwards-Faret G, Moreno M, Zuñiga N, Cline H, Larraín J., Dev Biol. December 15, 2015; 408 (2): 229-43.   


Genome-wide expression profile of the response to spinal cord injury in Xenopus laevis reveals extensive differences between regenerative and non-regenerative stages., Lee-Liu D, Moreno M, Almonacid LI, Tapia VS, Muñoz R, von Marées J, Gaete M, Melo F, Larraín J., Neural Dev. May 22, 2014; 9 12.   


Wnt signaling and cell-matrix adhesion., Astudillo P, Larraín J., Curr Mol Med. February 1, 2014; 14 (2): 209-20.


Syndecan-4 inhibits Wnt/β-catenin signaling through regulation of low-density-lipoprotein receptor-related protein (LRP6) and R-spondin 3., Astudillo P, Carrasco H, Larraín J., Int J Biochem Cell Biol. January 1, 2014; 46 103-12.   


Syndecan 4 interacts genetically with Vangl2 to regulate neural tube closure and planar cell polarity., Escobedo N, Contreras O, Muñoz R, Farías M, Carrasco H, Hill C, Tran U, Pryor SE, Wessely O, Copp AJ, Larraín J., Development. July 1, 2013; 140 (14): 3008-17.   


Spinal cord regeneration in Xenopus tadpoles proceeds through activation of Sox2-positive cells., Gaete M, Muñoz R, Sánchez N, Tampe R, Moreno M, Contreras EG, Lee-Liu D, Larraín J., Neural Dev. April 26, 2012; 7 13.   


Non-canonical Wnt signaling induces ubiquitination and degradation of Syndecan4., Carvallo L, Muñoz R, Bustos F, Escobedo N, Carrasco H, Olivares G, Larraín J., J Biol Chem. September 17, 2010; 285 (38): 29546-55.


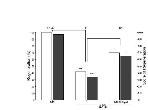
Early requirement of Hyaluronan for tail regeneration in Xenopus tadpoles., Contreras EG, Gaete M, Sánchez N, Carrasco H, Larraín J., Development. September 1, 2009; 136 (17): 2987-96.   


Syndecan-1 regulates BMP signaling and dorso-ventral patterning of the ectoderm during early Xenopus development., Olivares GH, Carrasco H, Aroca F, Carvallo L, Segovia F, Larraín J., Dev Biol. May 15, 2009; 329 (2): 338-49.   


Identification of novel transcripts with differential dorso-ventral expression in Xenopus gastrula using serial analysis of gene expression., Faunes F, Sánchez N, Castellanos J, Vergara IA, Melo F, Larraín J., Genome Biol. February 11, 2009; 10 (2): R15.   


Directional migration of neural crest cells in vivo is regulated by Syndecan-4/Rac1 and non-canonical Wnt signaling/RhoA., Matthews HK, Marchant L, Carmona-Fontaine C, Kuriyama S, Larraín J, Holt MR, Parsons M, Mayor R., Development. May 1, 2008; 135 (10): 1771-80.   


xSyndecan-4 regulates gastrulation and neural tube closure in Xenopus embryos., Muñoz R, Larraín J., ScientificWorldJournal. October 9, 2006; 6 1298-301.   


Syndecan-4 regulates non-canonical Wnt signalling and is essential for convergent and extension movements in Xenopus embryos., Muñoz R, Moreno M, Oliva C, Orbenes C, Larraín J., Nat Cell Biol. May 1, 2006; 8 (5): 492-500.


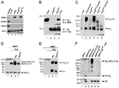
Biglycan is a new extracellular component of the Chordin-BMP4 signaling pathway., Moreno M, Muñoz R, Aroca F, Labarca M, Brandan E, Larraín J., EMBO J. April 6, 2005; 24 (7): 1397-405.


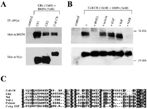
The pro-BMP activity of Twisted gastrulation is independent of BMP binding., Oelgeschläger M, Reversade B, Larraín J, Little S, Mullins MC, De Robertis EM., Development. September 1, 2003; 130 (17): 4047-56.   


Integrin-alpha3 mediates binding of Chordin to the cell surface and promotes its endocytosis., Larraín J, Brown C, De Robertis EM., EMBO Rep. August 1, 2003; 4 (8): 813-8.


Proteolytic cleavage of Chordin as a switch for the dual activities of Twisted gastrulation in BMP signaling., Larraín J, Oelgeschläger M, Ketpura NI, Reversade B, Zakin L, De Robertis EM., Development. November 1, 2001; 128 (22): 4439-47.   


Molecular mechanisms of cell-cell signaling by the Spemann-Mangold organizer., De Robertis EM, Wessely O, Oelgeschläger M, Brizuela B, Pera E, Larraín J, Abreu J, Bachiller D., Int J Dev Biol. January 1, 2001; 45 (1): 189-97.   


Neuralin-1 is a novel Chordin-related molecule expressed in the mouse neural plate., Coffinier C, Tran U, Larraín J, De Robertis EM., Mech Dev. January 1, 2001; 100 (1): 119-22.


The establishment of Spemann's organizer and patterning of the vertebrate embryo., De Robertis EM, Larraín J, Oelgeschläger M, Wessely O., Nat Rev Genet. December 1, 2000; 1 (3): 171-81.


The evolutionarily conserved BMP-binding protein Twisted gastrulation promotes BMP signalling., Oelgeschläger M, Larraín J, Geissert D, De Robertis EM., Nature. June 15, 2000; 405 (6788): 757-63.


BMP-binding modules in chordin: a model for signalling regulation in the extracellular space., Larraín J, Bachiller D, Lu B, Agius E, Piccolo S, De Robertis EM., Development. February 1, 2000; 127 (4): 821-30.   

???pagination.result.page??? 1