Click here to close Hello! We notice that you are using Internet Explorer, which is not supported by Xenbase and may cause the site to display incorrectly. We suggest using a current version of Chrome, FireFox, or Safari.

Profile Publications (8)
XB-PERS-1971

Publications By Vadim Y Arshavsky

???pagination.result.count???

???pagination.result.page??? 1


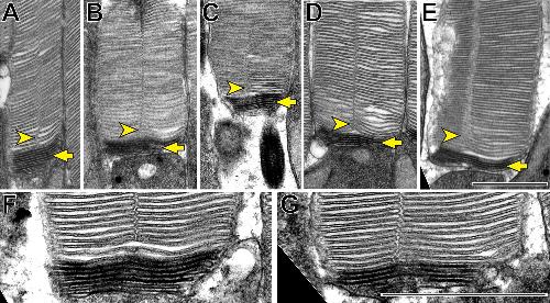
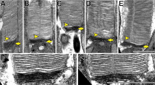
Photoreceptor disc incisures form as an adaptive mechanism ensuring the completion of disc enclosure., Lewis TR, Phan S, Castillo CM, Kim KY, Coppenrath K, Thomas W, Hao Y, Skiba NP, Horb ME, Ellisman MH, Arshavsky VY., Elife. July 14, 2023; 12   


The GARP Domain of the Rod CNG Channel's β1-Subunit Contains Distinct Sites for Outer Segment Targeting and Connecting to the Photoreceptor Disk Rim., Pearring JN, Martínez-Márquez J, Willer JR, Lieu EC, Salinas RY, Arshavsky VY., J Neurosci. April 7, 2021; 41 (14): 3094-3104.


Protein sorting, targeting and trafficking in photoreceptor cells., Pearring JN, Salinas RY, Baker SA, Arshavsky VY., Prog Retin Eye Res. September 1, 2013; 36 24-51.


A single valine residue plays an essential role in peripherin/rds targeting to photoreceptor outer segments., Salinas RY, Baker SA, Gospe SM, Arshavsky VY., PLoS One. January 1, 2013; 8 (1): e54292.   


Membrane attachment is key to protecting transducin GTPase-activating complex from intracellular proteolysis in photoreceptors., Gospe SM, Baker SA, Kessler C, Brucato MF, Winter JR, Burns ME, Arshavsky VY., J Neurosci. October 12, 2011; 31 (41): 14660-8.


Facilitative glucose transporter Glut1 is actively excluded from rod outer segments., Gospe SM, Baker SA, Arshavsky VY., J Cell Sci. November 1, 2010; 123 (Pt 21): 3639-44.   


Ankyrin-G promotes cyclic nucleotide-gated channel transport to rod photoreceptor sensory cilia., Kizhatil K, Baker SA, Arshavsky VY, Bennett V., Science. March 20, 2009; 323 (5921): 1614-7.


The outer segment serves as a default destination for the trafficking of membrane proteins in photoreceptors., Baker SA, Haeri M, Yoo P, Gospe SM, Skiba NP, Knox BE, Arshavsky VY., J Cell Biol. November 3, 2008; 183 (3): 485-98.   

???pagination.result.page??? 1