Click here to close Hello! We notice that you are using Internet Explorer, which is not supported by Xenbase and may cause the site to display incorrectly. We suggest using a current version of Chrome, FireFox, or Safari.

Profile Publications (34)
XB-PERS-1820

Publications By Sashko Damjanovski

???pagination.result.count???

???pagination.result.page??? 1


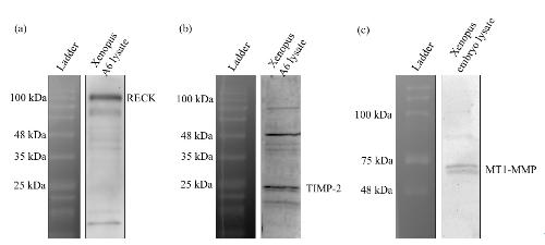
Spatial analysis of RECK, MT1-MMP, and TIMP-2 proteins during early Xenopus laevis development., Willson JA, Damjanovski S., Gene Expr Patterns. December 1, 2019; 34 119066.   


Modulation of RECK levels in Xenopus A6 cells: effects on MT1-MMP, MMP-2 and pERK levels., Willson JA, Bork BS, Muir CA, Damjanovski S., J Biol Res (Thessalon). November 27, 2019; 26 16.   


Knockdown of Pex11β reveals its pivotal role in regulating peroxisomal genes, numbers, and ROS levels in Xenopus laevis A6 cells., Fox MA, Nieuwesteeg MA, Willson JA, Cepeda M, Damjanovski S., In Vitro Cell Dev Biol Anim. April 1, 2014; 50 (4): 340-9.


Functional characterization of tissue inhibitor of metalloproteinase-1 (TIMP-1) N- and C-terminal domains during Xenopus laevis development., Nieuwesteeg MA, Willson JA, Cepeda M, Fox MA, Damjanovski S., ScientificWorldJournal. January 30, 2014; 2014 467907.   


Domain specific overexpression of TIMP-2 and TIMP-3 reveals MMP-independent functions of TIMPs during Xenopus laevis development., Nieuwesteeg MA, Walsh LA, Fox MA, Damjanovski S., Biochem Cell Biol. August 1, 2012; 90 (4): 585-95.


Expression analysis of the peroxiredoxin gene family during early development in Xenopus laevis., Shafer ME, Willson JA, Damjanovski S., Gene Expr Patterns. December 1, 2011; 11 (8): 511-6.   


IGF-1 increases invasive potential of MCF 7 breast cancer cells and induces activation of latent TGF-β1 resulting in epithelial to mesenchymal transition., Walsh LA, Damjanovski S., Cell Commun Signal. May 2, 2011; 9 (1): 10.   


PEX11β induces peroxisomal gene expression and alters peroxisome number during early Xenopus laevis development., Fox MA, Walsh LA, Nieuwesteeg M, Damjanovski S., BMC Dev Biol. April 28, 2011; 11 24.   


Peptide nucleic acid Pt(II) conjugates: a preliminary study of antisense effects in Xenopus laevis., Dodd DW, Damjanovski S, Hudson RE., Nucleosides Nucleotides Nucleic Acids. April 1, 2011; 30 (4): 257-63.


Peroxisome biogenesis occurs in late dorsal-anterior structures in the development of Xenopus laevis., Cooper CA, Walsh LA, Damjanovski S., Dev Dyn. December 1, 2007; 236 (12): 3554-61.   


Membrane type-1 matrix metalloproteinases and tissue inhibitor of metalloproteinases-2 RNA levels mimic each other during Xenopus laevis metamorphosis., Walsh LA, Carere DA, Cooper CA, Damjanovski S., PLoS One. October 3, 2007; 2 (10): e1000.   


Soluble membrane-type 3 matrix metalloprioteinase causes changes in gene expression and increased gelatinase activity during Xenopus laevis development., Walsh LA, Cooper CA, Damjanovski S., Int J Dev Biol. January 1, 2007; 51 (5): 389-95.   


Cloning and developmental characterization of Xenopus laevis membrane type-3 matrix metalloproteinase (MT3-MMP)., Hammoud L, Walsh LA, Damjanovski S., Biochem Cell Biol. April 1, 2006; 84 (2): 167-77.   


Overexpression of the tissue inhibitor of metalloproteinase-3 during Xenopus embryogenesis affects head and axial tissue formation., Pickard B, Damjanovski S., Cell Res. October 1, 2004; 14 (5): 389-99.


Function of thyroid hormone receptors during amphibian development., Damjanovski S, Sachs LM, Shi YB., Methods Mol Biol. January 1, 2002; 202 153-76.


Thyroid hormone-induced expression of sonic hedgehog correlates with adult epithelial development during remodeling of the Xenopus stomach and intestine., Ishizuya-Oka A, Ueda S, Inokuchi T, Amano T, Damjanovski S, Stolow M, Shi YB., Differentiation. December 1, 2001; 69 (1): 27-37.   


Overexpression of matrix metalloproteinases leads to lethality in transgenic Xenopus laevis: implications for tissue-dependent functions of matrix metalloproteinases during late embryonic development., Damjanovski S, Amano T, Li Q, Pei D, Shi YB., Dev Dyn. May 1, 2001; 221 (1): 37-47.   


Multiple stage-dependent roles for histone deacetylases during amphibian embryogenesis: implications for the involvement of extracellular matrix remodeling., Damjanovski S, Sachs LM, Shi YB., Int J Dev Biol. October 1, 2000; 44 (7): 769-76.   


Requirement for matrix metalloproteinase stromelysin-3 in cell migration and apoptosis during tissue remodeling in Xenopus laevis., Ishizuya-Oka A, Li Q, Amano T, Damjanovski S, Ueda S, Shi YB., J Cell Biol. September 4, 2000; 150 (5): 1177-88.   


Dual functions of thyroid hormone receptors during Xenopus development., Sachs LM, Damjanovski S, Jones PL, Li Q, Amano T, Ueda S, Shi YB, Ishizuya-Oka A., Comp Biochem Physiol B Biochem Mol Biol. June 1, 2000; 126 (2): 199-211.


Differential regulation of three thyroid hormone-responsive matrix metalloproteinase genes implicates distinct functions during frog embryogenesis., Damjanovski S, Puzianowska-Kuznicka M, Ishuzuya-Oka A, Shi YB., FASEB J. March 1, 2000; 14 (3): 503-10.


Role of ECM remodeling in thyroid hormone-dependent apoptosis during anuran metamorphosis., Damjanovski S, Amano T, Li Q, Ueda S, Shi YB, Ishizuya-Oka A., Ann N Y Acad Sci. January 1, 2000; 926 180-91.


Spatial and temporal regulation of collagenases-3, -4, and stromelysin -3 implicates distinct functions in apoptosis and tissue remodeling during frog metamorphosis., Damjanovski S, Ishizuya-Oka A, Shi YB., Cell Res. June 1, 1999; 9 (2): 91-105.   


Transcriptional repression by XPc1, a new Polycomb homolog in Xenopus laevis embryos, is independent of histone deacetylase., Strouboulis J, Damjanovski S, Vermaak D, Meric F, Wolffe AP., Mol Cell Biol. June 1, 1999; 19 (6): 3958-68.


Molecular and cellular basis of tissue remodeling during amphibian metamorphosis., Su Y, Damjanovski S, Shi Y, Shi YB., Histol Histopathol. January 1, 1999; 14 (1): 175-83.


Regulation of apoptosis during development: input from the extracellular matrix (review)., Shi YB, Li Q, Damjanovski S, Amano T, Ishizuya-Oka A., Int J Mol Med. September 1, 1998; 2 (3): 273-82.


Auto-regulation of thyroid hormone receptor genes during metamorphosis: roles in apoptosis and cell proliferation., Shi YB, Su Y, Li Q, Damjanovski S., Int J Dev Biol. March 1, 1998; 42 (2): 107-16.


Regulation of SPARC expression during early Xenopus development: evolutionary divergence and conservation of DNA regulatory elements between amphibians and mammals., Damjanovski S, Huynh MH, Motamed K, Sage EH, Ringuette M., Dev Genes Evol. January 1, 1998; 207 (7): 453-61.


Anteroposterior gradient of epithelial transformation during amphibian intestinal remodeling: immunohistochemical detection of intestinal fatty acid-binding protein., Ishizuya-Oka A, Ueda S, Damjanovski S, Li Q, Liang VC, Shi YB., Dev Biol. December 1, 1997; 192 (1): 149-61.   


Both thyroid hormone and 9-cis retinoic acid receptors are required to efficiently mediate the effects of thyroid hormone on embryonic development and specific gene regulation in Xenopus laevis., Puzianowska-Kuznicka M, Damjanovski S, Shi YB., Mol Cell Biol. August 1, 1997; 17 (8): 4738-49.   


Ectopic expression of SPARC in Xenopus embryos interferes with tissue morphogenesis: identification of a bioactive sequence in the C-terminal EF hand., Damjanovski S, Karp X, Funk S, Sage EH, Ringuette MJ., J Histochem Cytochem. May 1, 1997; 45 (5): 643-55.


Transient expression of SPARC in the dorsal axis of early Xenopus embryos: correlation with calcium-dependent adhesion and electrical coupling., Damjanovski S, Malaval L, Ringuette MJ., Int J Dev Biol. September 1, 1994; 38 (3): 439-46.   


Molecular analysis of Xenopus laevis SPARC (Secreted Protein, Acidic, Rich in Cysteine). A highly conserved acidic calcium-binding extracellular-matrix protein., Damjanovski S, Liu F, Ringuette M., Biochem J. January 15, 1992; 281 ( Pt 2) 513-7.


Expression of SPARC/osteonectin in tissues of bony and cartilaginous vertebrates., Ringuette M, Damjanovski S, Wheeler D., Biochem Cell Biol. April 1, 1991; 69 (4): 245-50.

???pagination.result.page??? 1