|
XB-PERS-1803
Publications By Donna Barker
???pagination.result.count??????pagination.result.page??? 1
|
Overexpression of the transcription factor Msx1 is insufficient to drive complete regeneration of refractory stage Xenopus laevis hindlimbs., Barker DM, Beck CW., Dev Dyn. June 1, 2009; 238 (6): 1366-78. |
|
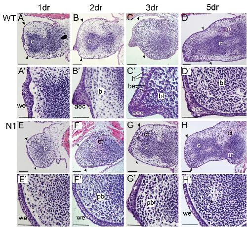
Identification of genes associated with regenerative success of Xenopus laevis hindlimbs., Pearl EJ, Barker D, Day RC, Beck CW., BMC Dev Biol. June 23, 2008; 8 66. |
|
Temporal requirement for bone morphogenetic proteins in regeneration of the tail and limb of Xenopus tadpoles., Beck CW, Christen B, Barker D, Slack JM., Mech Dev. September 1, 2006; 123 (9): 674-88. |
|
Methyllycaconitine analogues have mixed antagonist effects at nicotinic acetylcholine receptors., Barker D, Lin DH, Carland JE, Chu CP, Chebib M, Brimble MA, Savage GP, McLeod MD., Bioorg Med Chem. July 15, 2005; 13 (14): 4565-75. |
|
Retrovirus-induced insertional mutagenesis: mechanism of collagen mutation in Mov13 mice., Barker DD, Wu H, Hartung S, Breindl M, Jaenisch R., Mol Cell Biol. October 1, 1991; 11 (10): 5154-63. |
???pagination.result.page??? 1
