Click here to close Hello! We notice that you are using Internet Explorer, which is not supported by Xenbase and may cause the site to display incorrectly. We suggest using a current version of Chrome, FireFox, or Safari.

Profile Publications (30)
XB-PERS-1550

Publications By Kaili Liu

???pagination.result.count???

???pagination.result.page??? 1


Molecular cloning, expression analysis, and functional characterization of Intelectin-1 from Chinese giant salamanders (Andrias davidianus)., Mo H, Liu K, An X, Chen Y, Yu J, Yu H, Yao M, Song W, Li Y, Wang L., Genes Genomics. March 18, 2025;


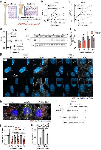
Skeletal progenitor LRP1 deficiency causes severe and persistent skeletal defects with Wnt pathway dysregulation., Alhashmi M, Gremida AME, Maharana SK, Antonaci M, Kerr A, Fu S, Lunn S, Turner DA, Al-Maslamani NA, Liu K, Meschis MM, Sutherland H, Wilson P, Clegg P, Wheeler GN, van 't Hof RJ, Bou-Gharios G, Yamamoto K., Bone Res. January 26, 2025; 13 (1): 17.   


Functional Characterization of Double Mutations T929I/K1774N in the Voltage-Gated Sodium Channel of Megalurothrips usitatus (Bagnall) Related to Pyrethroid Resistance., Gao R, Ma S, Geng J, Zhang K, Xian L, Liu K, Cao P, Yuchi Z, Wu S., J Agric Food Chem. May 18, 2024;


Molecular cloning, tissues distribution, and function analysis of thioredoxin-like protein-1 (TXNL1) in Chinese giant salamanders Andrias davidianus., Mo H, Yu H, Jiang Z, Chen Y, Yao M, Liu K, Li Y, Yu J, Wang L., Dev Comp Immunol. July 1, 2023; 144 104691.   


Functional Characterization of Knockdown Resistance Mutation L1014S in the German Cockroach, Blattella germanica (Linnaeus)., Liu K, Ma S, Zhang K, Gao R, Jin H, Cao P, Yuchi Z, Wu S., J Agric Food Chem. February 15, 2023; 71 (6): 2734-2744.


Multiscale, multi-perspective imaging assisted robotic microinjection of 3D biological structures., Joshi AS, Alegria AD, Auch B, Khosla K, Mendana JB, Liu K, Bischof J, Gohl DM, Kodandaramaiah SB., Annu Int Conf IEEE Eng Med Biol Soc. November 1, 2021; 2021 4844-4850.


In Situ Hybridization and Immunostaining of Xenopus Brain., Liu KL, Wang XM, Li ZL, Liu Y, He RQ., Methods Mol Biol. January 1, 2020; 2047 363-375.


Allelic variants of OsHKT1;1 underlie the divergence between indica and japonica subspecies of rice (Oryza sativa) for root sodium content., Campbell MT, Bandillo N, Al Shiblawi FRA, Sharma S, Liu K, Du Q, Schmitz AJ, Zhang C, Véry AA, Lorenz AJ, Walia H., PLoS Genet. June 5, 2017; 13 (6): e1006823.   


Cloning and in vitro characterization of a Schistosoma japonicum aquaglyceroporin that functions in osmoregulation., Huang Y, Li W, Lu W, Xiong C, Yang Y, Yan H, Liu KC, Cao P., Sci Rep. October 13, 2016; 6 35030.   


In situ hybridization and immunostaining of Xenopus brain., Liu KL, Wang XM, Li ZL, He RQ, Liu Y., Methods Mol Biol. January 1, 2014; 1082 129-41.


Vertebrate kidney tubules elongate using a planar cell polarity-dependent, rosette-based mechanism of convergent extension., Lienkamp SS, Liu K, Karner CM, Carroll TJ, Ronneberger O, Wallingford JB, Walz G., Nat Genet. December 1, 2012; 44 (12): 1382-7.   


Effects of acetaldehyde on hepatocyte glycerol uptake and cell size: implication of aquaporin 9., Potter JJ, Koteish A, Hamilton J, Liu X, Liu K, Agre P, Mezey E., Alcohol Clin Exp Res. May 1, 2011; 35 (5): 939-45.


MiR-124 regulates early neurogenesis in the optic vesicle and forebrain, targeting NeuroD1., Liu K, Liu Y, Mo W, Qiu R, Wang X, Wu JY, He R., Nucleic Acids Res. April 1, 2011; 39 (7): 2869-79.   


The role of miR-124a in early development of the Xenopus eye., Qiu R, Liu K, Liu Y, Mo W, Flynt AS, Patton JG, Kar A, Wu JY, He R., Mech Dev. October 1, 2009; 126 (10): 804-16.   


Misexpression of miR-196a induces eye anomaly in Xenopus laevis., Qiu R, Liu Y, Wu JY, Liu K, Mo W, He R., Brain Res Bull. April 6, 2009; 79 (1): 26-31.


Alpha-bungarotoxin binding to target cell in a developing visual system by carboxylated nanodiamond., Liu KK, Chen MF, Chen PY, Lee TJ, Cheng CL, Chang CC, Ho YP, Chao JI., Nanotechnology. May 21, 2008; 19 (20): 205102.


Voltage and ionic regulation of human serotonin transporter in Xenopus oocytes., Li C, Zhong H, Wang Y, Wang H, Yang Z, Zheng Y, Liu K, Liu Y., Clin Exp Pharmacol Physiol. November 1, 2006; 33 (11): 1088-92.


Conversion of aquaporin 6 from an anion channel to a water-selective channel by a single amino acid substitution., Liu K, Kozono D, Kato Y, Agre P, Hazama A, Yasui M., Proc Natl Acad Sci U S A. February 8, 2005; 102 (6): 2192-7.


AVP-induced VIT32 gene expression in collecting duct cells occurs via trans-activation of a CRE in the 5'-flanking region of the VIT32 gene., Thomas CP, Loftus RW, Liu KZ., Am J Physiol Renal Physiol. September 1, 2004; 287 (3): F460-8.


Switching between the two action modes of the dual-affinity nitrate transporter CHL1 by phosphorylation., Liu KH, Tsay YF., EMBO J. March 3, 2003; 22 (5): 1005-13.


Picrotoxin blockade of invertebrate glutamate-gated chloride channels: subunit dependence and evidence for binding within the pore., Etter A, Cully DF, Liu KK, Reiss B, Vassilatis DK, Schaeffer JM, Arena JP., J Neurochem. January 1, 1999; 72 (1): 318-26.


Functional expression of Drosophila para sodium channels. Modulation by the membrane protein TipE and toxin pharmacology., Warmke JW, Reenan RA, Wang P, Qian S, Arena JP, Wang J, Wunderler D, Liu K, Kaczorowski GJ, Van der Ploeg LH, Ganetzky B, Cohen CJ., J Gen Physiol. August 1, 1997; 110 (2): 119-33.   


Identification of a Drosophila melanogaster glutamate-gated chloride channel sensitive to the antiparasitic agent avermectin., Cully DF, Paress PS, Liu KK, Schaeffer JM, Arena JP., J Biol Chem. August 16, 1996; 271 (33): 20187-91.


An amino acid substitution in the pore region of a glutamate-gated chloride channel enables the coupling of ligand binding to channel gating., Etter A, Cully DF, Schaeffer JM, Liu KK, Arena JP., J Biol Chem. July 5, 1996; 271 (27): 16035-9.


Detection of intracellular calcium elevations in Xenopus laevis oocytes: aequorin luminescence versus electrophysiology., Grygorczyk R, Feighner SD, Adam M, Liu KK, LeCouter JE, Dashkevicz MP, Hreniuk DL, Rydberg EH, Arena JP., J Neurosci Methods. July 1, 1996; 67 (1): 19-25.


cDNA cloning of rasp-1, a novel gene encoding a plasma protein associated with liver regeneration., New L, Liu K, Kamali V, Plowman G, Naughton BA, Purchio AF., Biochem Biophys Res Commun. June 14, 1996; 223 (2): 404-12.


The mechanism of action of avermectins in Caenorhabditis elegans: correlation between activation of glutamate-sensitive chloride current, membrane binding, and biological activity., Arena JP, Liu KK, Paress PS, Frazier EG, Cully DF, Mrozik H, Schaeffer JM., J Parasitol. April 1, 1995; 81 (2): 286-94.


Cloning of an avermectin-sensitive glutamate-gated chloride channel from Caenorhabditis elegans., Cully DF, Vassilatis DK, Liu KK, Paress PS, Van der Ploeg LH, Schaeffer JM, Arena JP., Nature. October 20, 1994; 371 (6499): 707-11.


Expression of a glutamate-activated chloride current in Xenopus oocytes injected with Caenorhabditis elegans RNA: evidence for modulation by avermectin., Arena JP, Liu KK, Paress PS, Schaeffer JM, Cully DF., Brain Res Mol Brain Res. October 1, 1992; 15 (3-4): 339-48.


Avermectin-sensitive chloride currents induced by Caenorhabditis elegans RNA in Xenopus oocytes., Arena JP, Liu KK, Paress PS, Cully DF., Mol Pharmacol. September 1, 1991; 40 (3): 368-74.

???pagination.result.page??? 1