Click here to close Hello! We notice that you are using Internet Explorer, which is not supported by Xenbase and may cause the site to display incorrectly. We suggest using a current version of Chrome, FireFox, or Safari.

Profile Publications (16)
XB-PERS-1450

Publications By Vaibhav P Pai

???pagination.result.count???

???pagination.result.page??? 1


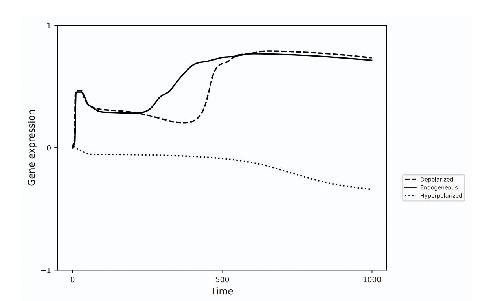
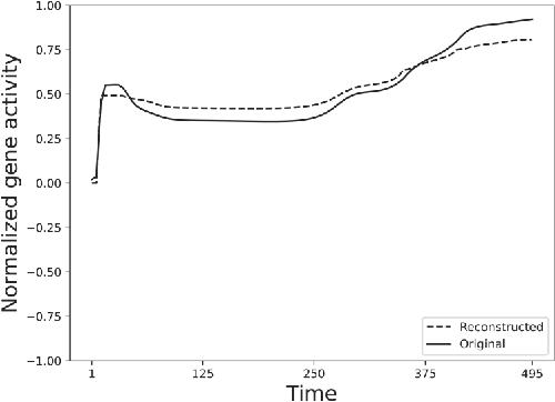
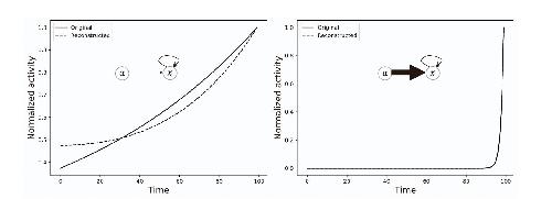
Identification of brain-like complex information architectures in embryonic tissue of Xenopus laevis organoids., Varley TF, Pai VP, Grasso C, Lunshof J, Levin M, Bongard J., Commun Integr Biol. October 7, 2025; 18 (1): 2568307.   


Basal Xenobot transcriptomics reveals changes and novel control modality in cells freed from organismal influence., Pai VP, Pio-Lopez L, Sperry MM, Erickson P, Tayyebi P, Levin M., Commun Biol. April 22, 2025; 8 (1): 646.   


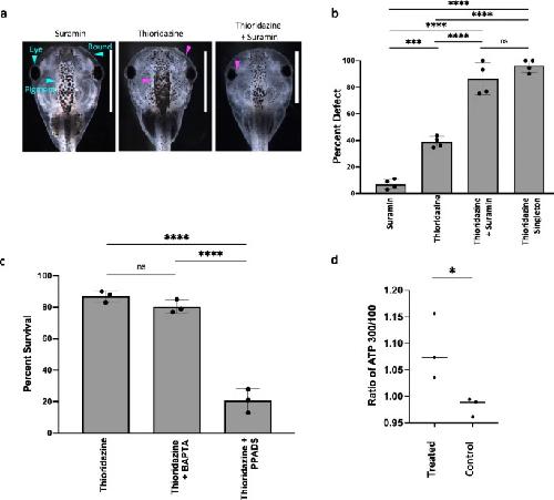
Embryos assist morphogenesis of others through calcium and ATP signaling mechanisms in collective teratogen resistance., Tung A, Sperry MM, Clawson W, Pavuluri A, Bulatao S, Yue M, Flores RM, Pai VP, McMillen P, Kuchling F, Levin M., Nat Commun. January 17, 2024; 15 (1): 535.   


Information integration during bioelectric regulation of morphogenesis of the embryonic frog brain., Manicka S, Pai VP, Levin M., iScience. December 15, 2023; 26 (12): 108398.   


HCN2 channel-induced rescue of brain, eye, heart and gut teratogenesis caused by nicotine, ethanol and aberrant notch signalling., Pai VP, Levin M., Wound Repair Regen. November 1, 2022; 30 (6): 681-706.   


HCN2 Channel-Induced Rescue of Brain Teratogenesis via Local and Long-Range Bioelectric Repair., Pai VP, Cervera J, Mafe S, Willocq V, Lederer EK, Levin M., Front Cell Neurosci. January 1, 2020; 14 136.   


Preventing Ethanol-Induced Brain and Eye Morphology Defects Using Optogenetics., Pai VP, Adams DS., Bioelectricity. December 1, 2019; 1 (4): 260-272.


HCN2 Rescues brain defects by enforcing endogenous voltage pre-patterns., Pai VP, Pietak A, Willocq V, Ye B, Shi NQ, Levin M., Nat Commun. March 8, 2018; 9 (1): 998.   


HCN4 ion channel function is required for early events that regulate anatomical left-right patterning in a nodal and lefty asymmetric gene expression-independent manner., Pai VP, Willocq V, Pitcairn EJ, Lemire JM, Paré JF, Shi NQ, McLaughlin KA, Levin M., Biol Open. October 15, 2017; 6 (10): 1445-1457.   


The brain is required for normal muscle and nerve patterning during early Xenopus development., Herrera-Rincon C, Pai VP, Moran KM, Lemire JM, Levin M., Nat Commun. September 25, 2017; 8 (1): 587.   


Coordinating heart morphogenesis: A novel role for hyperpolarization-activated cyclic nucleotide-gated (HCN) channels during cardiogenesis in Xenopus laevis., Pitcairn E, Harris H, Epiney J, Pai VP, Lemire JM, Ye B, Shi NQ, Levin M, McLaughlin KA., Commun Integr Biol. May 10, 2017; 10 (3): e1309488.   


Genome-wide analysis reveals conserved transcriptional responses downstream of resting potential change in Xenopus embryos, axolotl regeneration, and human mesenchymal cell differentiation., Pai VP, Martyniuk CJ, Echeverri K, Sundelacruz S, Kaplan DL, Levin M., Regeneration (Oxf). February 1, 2016; 3 (1): 3-25.   


Endogenous gradients of resting potential instructively pattern embryonic neural tissue via Notch signaling and regulation of proliferation., Pai VP, Lemire JM, Paré JF, Lin G, Chen Y, Levin M., J Neurosci. March 11, 2015; 35 (10): 4366-85.   


Local and long-range endogenous resting potential gradients antagonistically regulate apoptosis and proliferation in the embryonic CNS., Pai VP, Lemire JM, Chen Y, Lin G, Levin M., Int J Dev Biol. January 1, 2015; 59 (7-9): 327-40.


Transmembrane voltage potential controls embryonic eye patterning in Xenopus laevis., Pai VP, Aw S, Shomrat T, Lemire JM, Levin M., Development. January 1, 2012; 139 (2): 313-23.   


Neurally Derived Tissues in Xenopus laevis Embryos Exhibit a Consistent Bioelectrical Left-Right Asymmetry., Pai VP, Vandenberg LN, Blackiston D, Levin M., Stem Cells Int. January 1, 2012; 2012 353491.   

???pagination.result.page??? 1