|
XB-PERS-1145
Publications By Kris Vleminckx
???pagination.result.count??????pagination.result.page??? 1 2 ???pagination.result.next???
|
Precise, predictable genome integrations by deep-learning-assisted design of microhomology-based templates., Naert T, Yamamoto T, Han S, Röck R, Horn M, Bethge P, Vladimirov N, Voigt FF, Figueiro-Silva J, Bachmann-Gagescu R, Vleminckx K, Helmchen F, Lienkamp SS., Nat Biotechnol. August 12, 2025; |
|
Deletion upstream of MAB21L2 highlights the importance of evolutionarily conserved non-coding sequences for eye development., Ceroni F, Cicekdal MB, Holt R, Sorokina E, Chassaing N, Clokie S, Naert T, Talbot LV, Muheisen S, Bax DA, Kesim Y, Kivuva EC, Vincent-Delorme C, Lienkamp SS, Plaisancié J, De Baere E, Calvas P, Vleminckx K, Semina EV, Ragge NK., Nat Commun. October 26, 2024; 15 (1): 9245. |
|
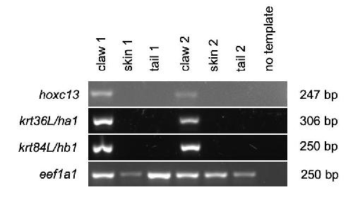
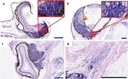
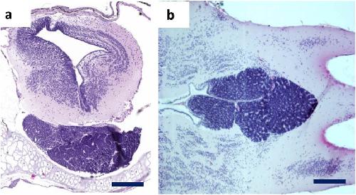
Evolutionary origin of Hoxc13-dependent skin appendages in amphibians., Carron M, Sachslehner AP, Cicekdal MB, Bruggeman I, Demuynck S, Golabi B, De Baere E, Declercq W, Tschachler E, Vleminckx K, Eckhart L., Nat Commun. March 18, 2024; 15 (1): 2328. |
|
Mutations in the histone methyltransferase Ezh2 drive context-dependent leukemia in Xenopus tropicalis., Tulkens D, Boelens M, Naert T, Carron M, Demuynck S, Dewaele S, Van Isterdael G, Creytens D, Pieters T, Goossens S, Van Vlierberghe P, Vleminckx K., Leukemia. December 1, 2023; 37 (12): 2404-2413. |
|
Multi-omics approach dissects cis-regulatory mechanisms underlying North Carolina macular dystrophy, a retinal enhanceropathy., Van de Sompele S, Small KW, Cicekdal MB, Soriano VL, D'haene E, Shaya FS, Agemy S, Van der Snickt T, Rey AD, Rosseel T, Van Heetvelde M, Vergult S, Balikova I, Bergen AA, Boon CJF, De Zaeytijd J, Inglehearn CF, Kousal B, Leroy BP, Rivolta C, Vaclavik V, van den Ende J, van Schooneveld MJ, Gómez-Skarmeta JL, Tena JJ, Martinez-Morales JR, Liskova P, Vleminckx K, De Baere E., Am J Hum Genet. October 3, 2022; 109 (11): 2029-2048. |
|
Engraftment of Allotransplanted Tumor Cells in Adult rag2 Mutant Xenopus tropicalis., Tulkens D, Dimitrakopoulou D, Boelens M, Van Nieuwenhuysen T, Demuynck S, Toussaint W, Creytens D, Van Vlierberghe P, Vleminckx K., Cancers (Basel). September 20, 2022; 14 (19): |
|
CRISPR-SID: Identifying EZH2 as a druggable target for desmoid tumors via in vivo dependency mapping., Naert T, Tulkens D, Van Nieuwenhuysen T, Przybyl J, Demuynck S, van de Rijn M, Al-Jazrawe M, Alman BA, Coucke PJ, De Leeneer K, Vanhove C, Savvides SN, Creytens D, Vleminckx K., Proc Natl Acad Sci U S A. November 23, 2021; 118 (47): |
|
Maximizing CRISPR/Cas9 phenotype penetrance applying predictive modeling of editing outcomes in Xenopus and zebrafish embryos., Naert T, Tulkens D, Edwards NA, Carron M, Shaidani NI, Wlizla M, Boel A, Demuynck S, Horb ME, Coucke P, Willaert A, Zorn AM, Vleminckx K., Sci Rep. September 4, 2020; 10 (1): 14662. |
|
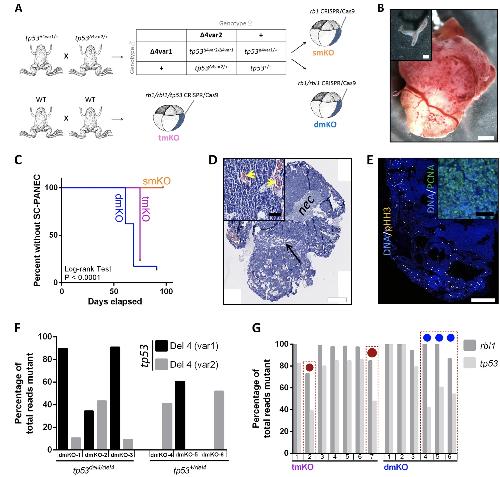
RBL1 (p107) functions as tumor suppressor in glioblastoma and small-cell pancreatic neuroendocrine carcinoma in Xenopus tropicalis., Naert T, Dimitrakopoulou D, Tulkens D, Demuynck S, Carron M, Noelanders R, Eeckhout L, Van Isterdael G, Deforce D, Vanhove C, Van Dorpe J, Creytens D, Vleminckx K., Oncogene. March 1, 2020; 39 (13): 2692-2706. |
|
Homozygous Null TBX4 Mutations Lead to Posterior Amelia with Pelvic and Pulmonary Hypoplasia., Kariminejad A, Szenker-Ravi E, Lekszas C, Tajsharghi H, Moslemi AR, Naert T, Tran HT, Ahangari F, Rajaei M, Nasseri M, Haaf T, Azad A, Superti-Furga A, Maroofian R, Ghaderi-Sohi S, Najmabadi H, Abbaszadegan MR, Vleminckx K, Nikuei P, Reversade B., Am J Hum Genet. December 5, 2019; 105 (6): 1294-1301. |
|
ΔN-Tp63 Mediates Wnt/β-Catenin-Induced Inhibition of Differentiation in Basal Stem Cells of Mucociliary Epithelia., Haas M, Gómez Vázquez JL, Sun DI, Tran HT, Brislinger M, Tasca A, Shomroni O, Vleminckx K, Walentek P., Cell Rep. September 24, 2019; 28 (13): 3338-3352.e6. |
|
A new transgenic reporter line reveals Wnt-dependent Snai2 re-expression and cranial neural crest differentiation in Xenopus., Li J, Perfetto M, Materna C, Li R, Thi Tran H, Vleminckx K, Duncan MK, Wei S., Sci Rep. August 1, 2019; 9 (1): 11191. |
|
Xenopus tropicalis: Joining the Armada in the Fight Against Blood Cancer., Dimitrakopoulou D, Tulkens D, Van Vlierberghe P, Vleminckx K., Front Physiol. January 1, 2019; 10 48. |
|
Corrigendum: Xenopus tropicalis: Joining the Armada in the Fight Against Blood Cancer., Dimitrakopoulou D, Tulkens D, Van Vlierberghe P, Vleminckx K., Front Physiol. January 1, 2019; 10 210. |
|
CRISPR/Cas9 disease models in zebrafish and Xenopus: The genetic renaissance of fish and frogs., Naert T, Vleminckx K., Drug Discov Today Technol. August 1, 2018; 28 41-52. |
|
RSPO2 inhibition of RNF43 and ZNRF3 governs limb development independently of LGR4/5/6., Szenker-Ravi E, Altunoglu U, Leushacke M, Bosso-Lefèvre C, Khatoo M, Thi Tran H, Naert T, Noelanders R, Hajamohideen A, Beneteau C, de Sousa SB, Karaman B, Latypova X, Başaran S, Yücel EB, Tan TT, Vlaminck L, Nayak SS, Shukla A, Girisha KM, Le Caignec C, Soshnikova N, Uyguner ZO, Vleminckx K, Barker N, Kayserili H, Reversade B., Nature. May 1, 2018; 557 (7706): 564-569. |
|
CRISPR/Cas9-Mediated Knockout of Rb1 in Xenopus tropicalis., Naert T, Vleminckx K., Methods Mol Biol. January 1, 2018; 1726 177-193. |
|
An atlas of Wnt activity during embryogenesis in Xenopus tropicalis., Borday C, Parain K, Thi Tran H, Vleminckx K, Perron M, Monsoro-Burq AH., PLoS One. January 1, 2018; 13 (4): e0193606. |
|
Cell Cycle Analysis of the Embryonic Brain of Fluorescent Reporter Xenopus tropicalis by Flow Cytometry., Noelanders R, Vleminckx K., Methods Mol Biol. January 1, 2018; 1865 243-250. |
|
Cancer Models in Xenopus tropicalis by CRISPR/Cas9 Mediated Knockout of Tumor Suppressors., Naert T, Vleminckx K., Methods Mol Biol. January 1, 2018; 1865 147-161. |
|
Genotyping of CRISPR/Cas9 Genome Edited Xenopus tropicalis., Naert T, Vleminckx K., Methods Mol Biol. January 1, 2018; 1865 67-82. |
|
Targeted Genome Engineering in Xenopus Using the Transcription Activator-Like Effector Nuclease (TALEN) Technology., Van Nieuwenhuysen T, Vleminckx K., Methods Mol Biol. January 1, 2018; 1865 55-65. |
|
Methods for CRISPR/Cas9 Xenopus tropicalis Tissue-Specific Multiplex Genome Engineering., Naert T, Vleminckx K., Methods Mol Biol. January 1, 2018; 1865 33-54. |
|
Caspase-9 has a nonapoptotic function in Xenopus embryonic primitive blood formation., Tran HT, Fransen M, Dimitrakopoulou D, Van Imschoot G, Willemarck N, Vleminckx K., J Cell Sci. July 15, 2017; 130 (14): 2371-2381. |
|
TALENs and CRISPR/Cas9 fuel genetically engineered clinically relevant Xenopus tropicalis tumor models., Naert T, Van Nieuwenhuysen T, Vleminckx K., Genesis. January 1, 2017; 55 (1-2): |
|
CRISPR/Cas9 mediated knockout of rb1 and rbl1 leads to rapid and penetrant retinoblastoma development in Xenopus tropicalis., Naert T, Colpaert R, Van Nieuwenhuysen T, Dimitrakopoulou D, Leoen J, Haustraete J, Boel A, Steyaert W, Lepez T, Deforce D, Willaert A, Creytens D, Vleminckx K., Sci Rep. October 14, 2016; 6 35264. |
|
A novel RIPK4-IRF6 connection is required to prevent epithelial fusions characteristic for popliteal pterygium syndromes., De Groote P, Tran HT, Fransen M, Tanghe G, Urwyler C, De Craene B, Leurs K, Gilbert B, Van Imschoot G, De Rycke R, Guérin CJ, Holland P, Berx G, Vandenabeele P, Lippens S, Vleminckx K, Declercq W., Cell Death Differ. June 1, 2015; 22 (6): 1012-24. |
|
TALEN-mediated apc mutation in Xenopus tropicalis phenocopies familial adenomatous polyposis., Van Nieuwenhuysen T, Naert T, Tran HT, Van Imschoot G, Geurs S, Sanders E, Creytens D, Van Roy F, Vleminckx K., Oncoscience. May 19, 2015; 2 (5): 555-66. |
|
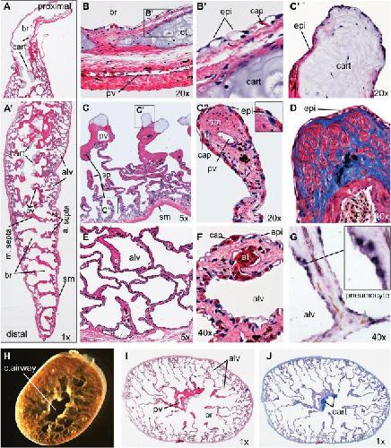
A Molecular atlas of Xenopus respiratory system development., Rankin SA, Thi Tran H, Wlizla M, Mancini P, Shifley ET, Bloor SD, Han L, Vleminckx K, Wert SE, Zorn AM., Dev Dyn. January 1, 2015; 244 (1): 69-85. |
|
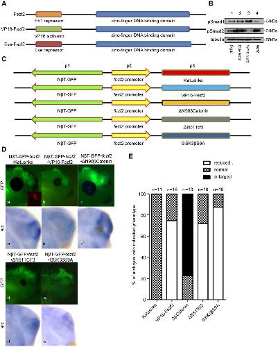
Fezf2 promotes neuronal differentiation through localised activation of Wnt/β-catenin signalling during forebrain development., Zhang S, Li J, Lea R, Vleminckx K, Amaya E., Development. December 1, 2014; 141 (24): 4794-805. |
|
Design and use of transgenic reporter strains for detecting activity of signaling pathways in Xenopus., Tran HT, Vleminckx K., Methods. April 1, 2014; 66 (3): 422-32. |
|
The Wnt signaling mediator tcf1 is required for expression of foxd3 during Xenopus gastrulation., Janssens S, Van Den Broek O, Davenport IR, Akkers RC, Liu F, Veenstra GJ, Hoppler S, Vleminckx K, Destrée O., Int J Dev Biol. January 1, 2013; 57 (1): 49-54. |
|
Hes4 controls proliferative properties of neural stem cells during retinal ontogenesis., El Yakoubi W, Borday C, Hamdache J, Parain K, Tran HT, Vleminckx K, Perron M, Locker M., Stem Cells. December 1, 2012; 30 (12): 2784-95. |
|
Antagonistic cross-regulation between Wnt and Hedgehog signalling pathways controls post-embryonic retinal proliferation., Borday C, Cabochette P, Parain K, Mazurier N, Janssens S, Tran HT, Sekkali B, Bronchain O, Vleminckx K, Locker M, Perron M., Development. October 1, 2012; 139 (19): 3499-509. |
|
Plakophilin-3 is required for late embryonic amphibian development, exhibiting roles in ectodermal and neural tissues., Munoz WA, Kloc M, Cho K, Lee M, Hofmann I, Sater A, Vleminckx K, McCrea PD., PLoS One. January 1, 2012; 7 (4): e34342. |
|
ARVCF depletion cooperates with Tbx1 deficiency in the development of 22q11.2DS-like phenotypes in Xenopus., Tran HT, Delvaeye M, Verschuere V, Descamps E, Crabbe E, Van Hoorebeke L, McCrea P, Adriaens D, Van Roy F, Vleminckx K., Dev Dyn. December 1, 2011; 240 (12): 2680-7. |
|
Transcription factor Zic2 inhibits Wnt/β-catenin protein signaling., Pourebrahim R, Houtmeyers R, Ghogomu S, Janssens S, Thelie A, Tran HT, Langenberg T, Vleminckx K, Bellefroid E, Cassiman JJ, Tejpar S., J Biol Chem. October 28, 2011; 286 (43): 37732-40. |
|
You''d better catch that Wnt: primitive hematopoiesis requires canonical Wnt signaling., Tran HT, Vleminckx K., Cell Cycle. February 1, 2011; 10 (3): 366-7. |
|
Aberrant activation of fatty acid synthesis suppresses primary cilium formation and distorts tissue development., Willemarck N, Rysman E, Brusselmans K, Van Imschoot G, Vanderhoydonc F, Moerloose K, Lerut E, Verhoeven G, van Roy F, Vleminckx K, Swinnen JV., Cancer Res. November 15, 2010; 70 (22): 9453-62. |
|
The chronic toxicity of molybdate to freshwater organisms. I. Generating reliable effects data., De Schamphelaere KA, Stubblefield W, Rodriguez P, Vleminckx K, Janssen CR., Sci Total Environ. October 15, 2010; 408 (22): 5362-71. |
|
Wnt/beta-catenin signaling is involved in the induction and maintenance of primitive hematopoiesis in the vertebrate embryo., Tran HT, Sekkali B, Van Imschoot G, Janssens S, Vleminckx K., Proc Natl Acad Sci U S A. September 14, 2010; 107 (37): 16160-5. |
|
Direct control of Hoxd1 and Irx3 expression by Wnt/beta-catenin signaling during anteroposterior patterning of the neural axis in Xenopus., Janssens S, Denayer T, Deroo T, Van Roy F, Vleminckx K., Int J Dev Biol. January 1, 2010; 54 (10): 1435-42. |
|
Requirement of Wnt/beta-catenin signaling in pronephric kidney development., Lyons JP, Miller RK, Zhou X, Weidinger G, Deroo T, Denayer T, Park JI, Ji H, Hong JY, Li A, Moon RT, Jones EA, Vleminckx K, Vize PD, McCrea PD., Mech Dev. January 1, 2009; 126 (3-4): 142-59. |
|
Canonical Wnt signaling controls proliferation of retinal stem/progenitor cells in postembryonic Xenopus eyes., Denayer T, Locker M, Borday C, Deroo T, Janssens S, Hecht A, van Roy F, Perron M, Vleminckx K., Stem Cells. August 1, 2008; 26 (8): 2063-74. |
|
Chicken beta-globin insulator overcomes variegation of transgenes in Xenopus embryos., Sekkali B, Tran HT, Crabbe E, De Beule C, Van Roy F, Vleminckx K., FASEB J. July 1, 2008; 22 (7): 2534-40. |
|
Transgenic reporter tools tracing endogenous canonical Wnt signaling in Xenopus., Denayer T, Tran HT, Vleminckx K., Methods Mol Biol. January 1, 2008; 469 381-400. |
|
Mycobacterium liflandii infection in European colony of Silurana tropicalis., Suykerbuyk P, Vleminckx K, Pasmans F, Stragier P, Ablordey A, Tran HT, Hermans K, Fleetwood M, Meyers WM, Portaels F., Emerg Infect Dis. May 1, 2007; 13 (5): 743-6. |
|
In vivo tracing of canonical Wnt signaling in Xenopus tadpoles by means of an inducible transgenic reporter tool., Denayer T, Van Roy F, Vleminckx K., FEBS Lett. January 23, 2006; 580 (2): 393-8. |
|
A genetic Xenopus laevis tadpole model to study lymphangiogenesis., Ny A, Koch M, Schneider M, Neven E, Tong RT, Maity S, Fischer C, Plaisance S, Lambrechts D, Héligon C, Terclavers S, Ciesiolka M, Kälin R, Man WY, Senn I, Wyns S, Lupu F, Brändli A, Vleminckx K, Collen D, Dewerchin M, Conway EM, Moons L, Jain RK, Carmeliet P., Nat Med. September 1, 2005; 11 (9): 998-1004. |
|
Kaiso/p120-catenin and TCF/beta-catenin complexes coordinately regulate canonical Wnt gene targets., Park JI, Kim SW, Lyons JP, Ji H, Nguyen TT, Cho K, Barton MC, Deroo T, Vleminckx K, Moon RT, McCrea PD., Dev Cell. June 1, 2005; 8 (6): 843-54. |
???pagination.result.page??? 1 2 ???pagination.result.next???
