Click here to close Hello! We notice that you are using Internet Explorer, which is not supported by Xenbase and may cause the site to display incorrectly. We suggest using a current version of Chrome, FireFox, or Safari.

Profile Publications (24)
XB-PERS-1016

Publications By Thomas A Drysdale

???pagination.result.count???

???pagination.result.page??? 1


Using Large Datasets to Understand CKD., Drysdale TA., J Am Soc Nephrol. May 11, 2018; 29 (5): 1351-1353.


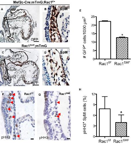
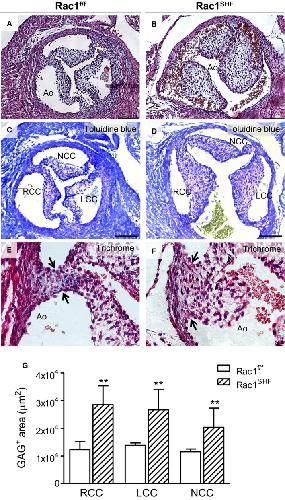
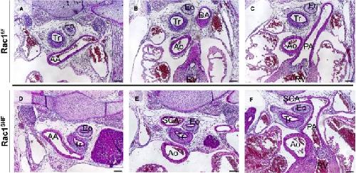
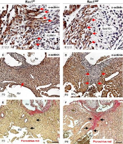
Rac1 Signaling Is Required for Anterior Second Heart Field Cellular Organization and Cardiac Outflow Tract Development., Leung C, Liu Y, Lu X, Kim M, Drysdale TA, Feng Q., J Am Heart Assoc. December 31, 2015; 5 (1):   


Understanding early organogenesis using a simplified in situ hybridization protocol in Xenopus., Deimling SJ, Halabi RR, Grover SA, Wang JH, Drysdale TA., J Vis Exp. January 12, 2015; (95): e51526.   


Expression of Ski can act as a negative feedback mechanism on retinoic acid signaling., Melling MA, Friendship CR, Shepherd TG, Drysdale TA., Dev Dyn. June 9, 2013; 242 (6): 604-13.   


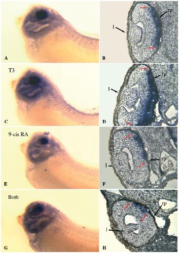
Retinoic acid is a key regulatory switch determining the difference between lung and thyroid fates in Xenopus laevis., Wang JH, Deimling SJ, D'Alessandro NE, Zhao L, Possmayer F, Drysdale TA., BMC Dev Biol. January 26, 2011; 11 75.   


Fgf is required to regulate anterior-posterior patterning in the Xenopus lateral plate mesoderm., Deimling SJ, Drysdale TA., Mech Dev. January 1, 2011; 128 (7-10): 327-41.   


Direct activation of Shroom3 transcription by Pitx proteins drives epithelial morphogenesis in the developing gut., Chung MI, Nascone-Yoder NM, Grover SA, Drysdale TA, Wallingford JB., Development. April 1, 2010; 137 (8): 1339-49.   


Retinoic acid regulates anterior-posterior patterning within the lateral plate mesoderm of Xenopus., Deimling SJ, Drysdale TA., Mech Dev. October 1, 2009; 126 (10): 913-23.   


Retinoic acid signaling is essential for formation of the heart tube in Xenopus., Collop AH, Broomfield JA, Chandraratna RA, Yong Z, Deimling SJ, Kolker SJ, Weeks DL, Drysdale TA., Dev Biol. March 1, 2006; 291 (1): 96-109.   


Early expression of thyroid hormone receptor beta and retinoid X receptor gamma in the Xenopus embryo., Cossette SM, Drysdale TA., Differentiation. June 1, 2004; 72 (5): 239-49.   


Regulation of heart size in Xenopus laevis., Garriock RJ, Drysdale TA., Differentiation. October 1, 2003; 71 (8): 506-15.   


Expression of muscle LIM protein during early development in Xenopus laevis., Duan LJ, Broomfield JA, Drysdale TA., Int J Dev Biol. May 1, 2003; 47 (4): 299-302.   


Developmental expression of cardiac myosin-binding protein C in Xenopus., Duan LJ, George ME, Drysdale TA., Dev Genes Evol. February 1, 2002; 212 (1): 47-9.


Molecular cloning and functional characterization of inhibitor-sensitive (mENT1) and inhibitor-resistant (mENT2) equilibrative nucleoside transporters from mouse brain., Kiss A, Farah K, Kim J, Garriock RJ, Drysdale TA, Hammond JR., Biochem J. December 1, 2000; 352 Pt 2 (Pt 2): 363-72.


Embryonic origins of spleen asymmetry., Patterson KD, Drysdale TA, Krieg PA., Development. January 1, 2000; 127 (1): 167-75.   


A role for GATA-4/5/6 in the regulation of Nkx2.5 expression with implications for patterning of the precardiac field., Jiang Y, Drysdale TA, Evans T., Dev Biol. December 1, 1999; 216 (1): 57-71.   


Retinoic acid can block differentiation of the myocardium after heart specification., Drysdale TA, Patterson KD, Saha M, Krieg PA., Dev Biol. August 15, 1997; 188 (2): 205-15.   


Cardiac troponin I is a heart-specific marker in the Xenopus embryo: expression during abnormal heart morphogenesis., Drysdale TA, Tonissen KF, Patterson KD, Crawford MJ, Krieg PA., Dev Biol. October 1, 1994; 165 (2): 432-41.   


Effects of localized application of retinoic acid on Xenopus laevis development., Drysdale TA, Crawford MJ., Dev Biol. April 1, 1994; 162 (2): 394-401.   


XNkx-2.5, a Xenopus gene related to Nkx-2.5 and tinman: evidence for a conserved role in cardiac development., Tonissen KF, Drysdale TA, Lints TJ, Harvey RP, Krieg PA., Dev Biol. March 1, 1994; 162 (1): 325-8.   


Inductive events in the patterning of the Xenopus laevis hatching and cement glands, two cell types which delimit head boundaries., Drysdale TA, Elinson RP., Dev Biol. July 1, 1993; 158 (1): 245-53.


Expression and distribution of SPARC in early Xenopus laevis embryos., Ringuette M, Drysdale T, Liu F., Rouxs Arch Dev Biol. December 1, 1992; 202 (1): 4-9.


Cell Migration and Induction in the Development of the Surface Ectodermal Pattern of the Xenopus laevis Tadpole: (Xenopus/ciliated cell/hatching gland/cement gland/ectodermal differentiation)., Drysdale TA, Elinson RP., Dev Growth Differ. February 1, 1992; 34 (1): 51-59.


Development of the Xenopus laevis hatching gland and its relationship to surface ectoderm patterning., Drysdale TA, Elinson RP., Development. February 1, 1991; 111 (2): 469-78.   

???pagination.result.page??? 1