|
XB-PERS-1002
Publications By Shinichirou Miura
???pagination.result.count??????pagination.result.page??? 1
|
In vivo tracking of histone H3 lysine 9 acetylation in Xenopus laevis during tail regeneration., Suzuki M, Takagi C, Miura S, Sakane Y, Suzuki M, Sakuma T, Sakamoto N, Endo T, Kamei Y, Sato Y, Kimura H, Yamamoto T, Ueno N, Suzuki KT., Genes Cells. April 1, 2016; 21 (4): 358-69. |
|
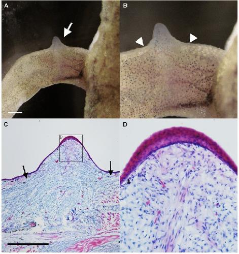
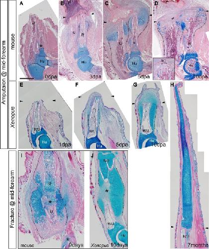
Skeletal callus formation is a nerve-independent regenerative response to limb amputation in mice and Xenopus., Miura S, Takahashi Y, Satoh A, Endo T., Regeneration (Oxf). August 26, 2015; 2 (4): 202-16. |
|
Ectopic blastema induction by nerve deviation and skin wounding: a new regeneration model in Xenopus laevis., Mitogawa K, Hirata A, Moriyasu M, Makanae A, Miura S, Endo T, Satoh A., Regeneration (Oxf). May 28, 2014; 1 (2): 26-36. |
|
Skeletogenesis in Xenopus tropicalis: characteristic bone development in an anuran amphibian., Miura S, Hanaoka K, Togashi S., Bone. November 1, 2008; 43 (5): 901-9. |
???pagination.result.page??? 1
