Click here to close Hello! We notice that you are using Internet Explorer, which is not supported by Xenbase and may cause the site to display incorrectly. We suggest using a current version of Chrome, FireFox, or Safari.

Profile Publications (17)
XB-PERS-1001

Publications By Anna Noble

???pagination.result.count???

???pagination.result.page??? 1


I-SceI-Mediated Transgenesis in Xenopus., Noble A, Abu-Daya A, Guille MJ., Cold Spring Harb Protoc. June 24, 2022; 2022 (6): Pdb.prot107011.


RedoxiFluor: A microplate technique to quantify target-specific protein thiol redox state in relative percentage and molar terms., Tuncay A, Noble A, Guille M, Cobley JN., Free Radic Biol Med. March 1, 2022; 181 118-129.   


Cryopreservation of Xenopus Sperm and In Vitro Fertilization Using Frozen Sperm Samples., Noble A, Abu-Daya A, Guille M., Cold Spring Harb Protoc. February 1, 2022; 2022 (2):


ALISA: A microplate assay to measure protein thiol redox state., Noble A, Guille M, Cobley JN., Free Radic Biol Med. October 1, 2021; 174 272-280.   


Reversible Thiol Oxidation Inhibits the Mitochondrial ATP Synthase in Xenopus Laevis Oocytes., Cobley J, Noble A, Bessell R, Guille M, Husi H., Antioxidants (Basel). March 5, 2020; 9 (3):   


Family-wide Structural and Biophysical Analysis of Binding Interactions among Non-clustered δ-Protocadherins., Harrison OJ, Brasch J, Katsamba PS, Ahlsen G, Noble AJ, Dan H, Sampogna RV, Potter CS, Carragher B, Honig B, Shapiro L., Cell Rep. February 25, 2020; 30 (8): 2655-2671.e7.   


Catalyst-free Click PEGylation reveals substantial mitochondrial ATP synthase sub-unit alpha oxidation before and after fertilisation., Cobley JN, Noble A, Jimenez-Fernandez E, Valdivia Moya MT, Guille M, Husi H., Redox Biol. September 1, 2019; 26 101258.   


Xenopus Resources: Transgenic, Inbred and Mutant Animals, Training Opportunities, and Web-Based Support., Horb M, Wlizla M, Abu-Daya A, McNamara S, Gajdasik D, Igawa T, Suzuki A, Ogino H, Noble A, Centre de Ressource Biologique Xenope team in France, Robert J, James-Zorn C, Guille M., Front Physiol. January 1, 2019; 10 387.   


Adipose tissue macrophages develop from bone marrow-independent progenitors in Xenopus laevis and mouse., Hassnain Waqas SF, Noble A, Hoang AC, Ampem G, Popp M, Strauß S, Guille M, Röszer T., J Leukoc Biol. September 1, 2017; 102 (3): 845-855.   


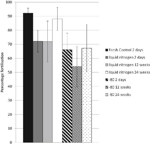
An optimized method for cryogenic storage of Xenopus sperm to maximise the effectiveness of research using genetically altered frogs., Pearl E, Morrow S, Noble A, Lerebours A, Horb M, Guille M., Theriogenology. April 1, 2017; 92 149-155.   


A newly identified Rab-GDI paralogue has a role in neural development in amphibia., Nazlamova L, Noble A, Schubert FR, McGeehan J, Myers F, Guille M, Scarlett G., Gene. January 30, 2017; 599 78-86.   


Validation of the sperm chromatin dispersion (SCD) test in the amphibian Xenopus laevis using in situ nick translation and comet assay., Pollock K, Gosálvez J, Arroyo F, López-Fernández C, Guille M, Noble A, Johnston SD., Reprod Fertil Dev. November 1, 2015; 27 (8): 1168-74.


Inbreeding Ratio and Genetic Relationships among Strains of the Western Clawed Frog, Xenopus tropicalis., Igawa T, Watanabe A, Suzuki A, Kashiwagi A, Kashiwagi K, Noble A, Guille M, Simpson DE, Horb ME, Fujii T, Sumida M., PLoS One. July 16, 2015; 10 (7): e0133963.   


The emergence of Pax7-expressing muscle stem cells during vertebrate head muscle development., Nogueira JM, Hawrot K, Sharpe C, Noble A, Wood WM, Jorge EC, Goldhamer DJ, Kardon G, Dietrich S., Front Aging Neurosci. May 19, 2015; 7 62.   


Husbandry of Xenopus tropicalis., Jafkins A, Abu-Daya A, Noble A, Zimmerman LB, Guille M., Methods Mol Biol. January 1, 2012; 917 17-31.


pTransgenesis: a cross-species, modular transgenesis resource., Love NR, Thuret R, Chen Y, Ishibashi S, Sabherwal N, Paredes R, Alves-Silva J, Dorey K, Noble AM, Guille MJ, Sasai Y, Papalopulu N, Amaya E., Development. December 1, 2011; 138 (24): 5451-8.   


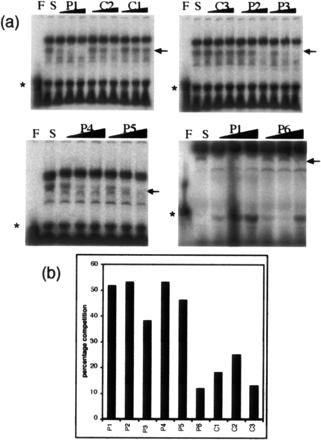
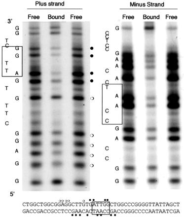
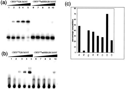
Intact RNA-binding domains are necessary for structure-specific DNA binding and transcription control by CBTF122 during Xenopus development., Scarlett GP, Elgar SJ, Cary PD, Noble AM, Orford RL, Kneale GG, Guille MJ., J Biol Chem. December 10, 2004; 279 (50): 52447-55.   

???pagination.result.page??? 1