Click here to close Hello! We notice that you are using Internet Explorer, which is not supported by Xenbase and may cause the site to display incorrectly. We suggest using a current version of Chrome, FireFox, or Safari.

Summary Anatomy Item Literature (2463) Expression Attributions Wiki
XB-ANAT-63

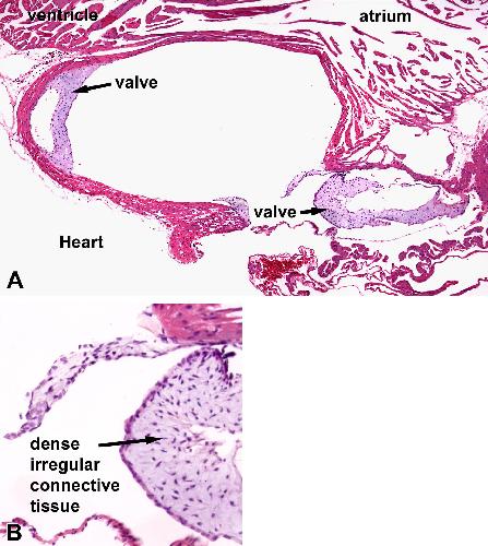
Anatomy Term: heart
XAO ID: 0000064
Synonyms:
Definition: "A myogenic muscular organ found in the cardiovascular system. It is responsible for pumping blood throughout the blood vessels by repeated, rhythmic contractions. It is composed of cardiac muscle, which is an involuntary striated muscle tissue found only in this organ, and connective tissue. It is ultimately composed of three chambers (two atria and one ventricle), occupying a ventral position within the chest of the mature tadpole/frog."
Stage Range: NF stage 28 to death
Develops From:
Anatomy Item Stage Range
heart primordium NF stage 19 to NF stage 31
Develops Into:
 
Parent(s): heart primordium

 

Parent(s): cavitated compound organ (is_a) viscus (is_a) cardiovascular system (part_of)

 


References: Ontology Lookup Service , XB ANATOMY ONTOLOGY