Click
here to close Hello! We notice that
you are using Internet Explorer, which is not supported by Echinobase
and may cause the site to display incorrectly. We suggest using a
current version of Chrome,
FireFox,
or Safari.
Molecules
2025 Nov 21;3023:. doi: 10.3390/molecules30234496.
Show Gene links
Show Anatomy links
Very Stable High-Molecular-Mass Multiprotein Complexes in Different Organs of the Sea Cucumber Paracaudina chilensis.
Soboleva SE, Poletaeva JE, Dmitrenok PS, Bulgakov DV, Ryabchikova EI, Nevinsky GA.
???displayArticle.abstract???
We report the first identification of several large (1.4-2.2 MDa), highly stable protein-peptide complexes in various organs and tissues (body wall, gonads, respiratory trees, gut, and coelomic fluid) of the sea cucumber Paracaudina chilensis. Gel filtration and transmission electron microscopy methods were used to estimate the molecular weights and sizes of the complexes. According to light scattering assay data, these multiprotein complexes undergo significant dissociation only in the presence of 3.0 M MgCl2 or 8.0 M urea containing 0.1 M EDTA and DTT. Analysis of the complexes using SDS-PAGE and MALDI mass spectrometry showed that all complexes contain numerous proteins (>10 kDa), whose number and composition vary among organs. Additionally, using MALDI mass spectrometry, it was shown that the whole-organism complexes contain 254 distinct peptides (<10 kDa). The peptide content in organ-specific complexes decreases in the following order: respiratory trees (104) > coelomic fluid (76) > body wall (64) > gut (58) > gonads (55). In contrast to individual proteins and peptides, multiprotein complexes have expanded possibilities, since they can interact with various molecules and cells. Thus, they can perform the functions of all peptides and proteins located on their surfaces. We propose that the unique protein and peptide composition of each complex facilitates the specific biological functions of its respective organ.
Figure 1. Isolation of protein complexes from the sea cucumber P. chilensis by FPLC gel filtration on a Sepharose 4B column using homogenates of intact sea cucumbers (A) and their different organs and tissues: body wall (B), coelomic fluid (C), gonads (D), respiratory trees (E), and gut (F).
Figure 2. Representative image of complexes obtained by ultracentrifugation from full holothurian body including visceral organs. #—spherical particles of 40–140 nm (protein complexes); ≈ and insert—spherical particles of 30–40 nm (protein complexes); *—fine background material; stacks of “sticks” are shown by contour. TEM, negative staining by uranyl acetate. Length of scale bars corresponds to 50 nm.
Figure 3. Representative images of complexes obtained by ultracentrifugation from different holothurian organs. (A)—coelomic fluid: #—spherical particles 20–30 nm; ≈—oval particles, up to 200 nm; *—an accumulation of small elements not organized into distinct structures. (B)—gut: stacks of “sticks” are shown in frames; *—accumulation of elements. (C)—respiratory trees: #—spherical particles; *—fine-grained material. (D)—gonads: #—spherical particles; *—accumulation of elements. (E)—body wall: #—spherical particles; *—fine-grained material. In all images, contours show stacks of “sticks”. Transmission electron microscopy, negative contrast. Length of scale bars corresponds to 50 nm.
Figure 4. DLS data on typical examples of changes in the relative stability of the complexes (0.005–0.01 mg/mL) from the whole body (A), body wall (B), respiratory trees (C), gut (D), coelomic fluid (E), and gonads (F) in different conditions.
Figure 5. Gel filtration on Sepharose 4B of the whole-body complex before (red line) and after (black line) its treatment under severe conditions (8.0 M urea containing 1.0 M NaCl).
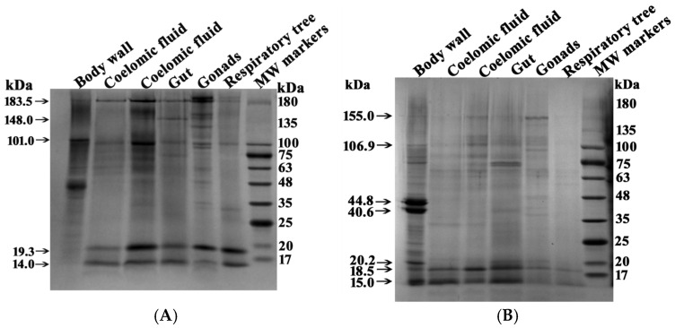
Figure 6. SDS-PAGE analysis of multiprotein complexes (4–16 µg) from different organs of sea cucumbers. Separation was performed on a 4–18% gradient gel before (A) and after (B) treatment with DTT. Molecular mass markers are indicated. The gels were stained using Coomassie R-250. For other details, see Section 4.
Figure 7. MALDI spectra of 10–20 kDa proteins eluted from Tips C18 by acetonitrile for complexes from different organs of sea cucumbers: body wall ((A); 20% acetonitrile), respiratory trees (B); 40%), gut (C); 70%), coelomic fluid (D); 30%), and gonads (E); 50%).
Figure 8. MALDI spectra of oligopeptides 2.5–10 kDa eluted from Tips C18 by different concentrations of acetonitrile for complexes from coelomic fluid (A–F).